Go to The Journal of Clinical Investigation
  • About
  • Editors
  • Consulting Editors
  • For authors
  • Publication ethics
  • Publication alerts by email
  • Transfers
  • Advertising
  • Job board
  • Contact
  • Physician-Scientist Development
  • Current issue
  • Past issues
  • By specialty
    • COVID-19
    • Cardiology
    • Immunology
    • Metabolism
    • Nephrology
    • Oncology
    • Pulmonology
    • All ...
  • Videos
  • Collections
    • In-Press Preview
    • Resource and Technical Advances
    • Clinical Research and Public Health
    • Research Letters
    • Editorials
    • Perspectives
    • Physician-Scientist Development
    • Reviews
    • Top read articles

  • Current issue
  • Past issues
  • Specialties
  • In-Press Preview
  • Resource and Technical Advances
  • Clinical Research and Public Health
  • Research Letters
  • Editorials
  • Perspectives
  • Physician-Scientist Development
  • Reviews
  • Top read articles
  • About
  • Editors
  • Consulting Editors
  • For authors
  • Publication ethics
  • Publication alerts by email
  • Transfers
  • Advertising
  • Job board
  • Contact
Dual IL-6 and CTLA-4 blockade regresses pancreatic tumors in a T cell– and CXCR3-dependent manner
Michael Brandon Ware, Maggie Phillips, Christopher McQuinn, Mohammad Y. Zaidi, Hannah M. Knochelmann, Emily Greene, Brian Robinson, Cameron J. Herting, Thomas A. Mace, Zhengjia Chen, Chao Zhang, Matthew R. Farren, Amanda N. Ruggieri, Jacob S. Bowers, Reena Shakya, Alton B. Farris, Gregory Young, William E. Carson III, Bassel El-Rayes, Chrystal M. Paulos, Gregory B. Lesinski
Michael Brandon Ware, Maggie Phillips, Christopher McQuinn, Mohammad Y. Zaidi, Hannah M. Knochelmann, Emily Greene, Brian Robinson, Cameron J. Herting, Thomas A. Mace, Zhengjia Chen, Chao Zhang, Matthew R. Farren, Amanda N. Ruggieri, Jacob S. Bowers, Reena Shakya, Alton B. Farris, Gregory Young, William E. Carson III, Bassel El-Rayes, Chrystal M. Paulos, Gregory B. Lesinski
View: Text | PDF
Research Article Immunology Oncology

Dual IL-6 and CTLA-4 blockade regresses pancreatic tumors in a T cell– and CXCR3-dependent manner

  • Text
  • PDF
Abstract

This study aimed to enhance antitumor immune responses to pancreatic cancer via Ab-based blockade of IL-6 and cytotoxic T-lymphocyte–associated protein 4 (CTLA-4). Mice bearing s.c. or orthotopic pancreatic tumors were treated with blocking Abs to IL‑6 and/or CTLA-4. In both tumor models, dual IL-6 and CTLA-4 blockade significantly inhibited tumor growth. Additional investigations revealed that dual therapy induced an overwhelming infiltration of T cells into the tumor as well as changes in CD4+ T cell subsets. Dual blockade therapy elicited CD4+ T cells to secrete increased IFN-γ in vitro. Likewise, in vitro stimulation of pancreatic tumor cells with IFN-γ profoundly increased tumor cell production of CXCR3-specific chemokines, even in the presence of IL-6. In vivo blockade of CXCR3 prevented orthotopic tumor regression in the presence of the combination treatment, demonstrating a dependence on the CXCR3 axis for antitumor efficacy. Both CD4+ and CD8+ T cells were required for the antitumor activity of this combination therapy, as their in vivo depletion via Abs impaired outcomes. These data represent the first report to our knowledge of IL-6 and CTLA‑4 blockade as a means to regress pancreatic tumors with defined operative mechanisms of efficacy.

Authors

Michael Brandon Ware, Maggie Phillips, Christopher McQuinn, Mohammad Y. Zaidi, Hannah M. Knochelmann, Emily Greene, Brian Robinson, Cameron J. Herting, Thomas A. Mace, Zhengjia Chen, Chao Zhang, Matthew R. Farren, Amanda N. Ruggieri, Jacob S. Bowers, Reena Shakya, Alton B. Farris, Gregory Young, William E. Carson III, Bassel El-Rayes, Chrystal M. Paulos, Gregory B. Lesinski

×

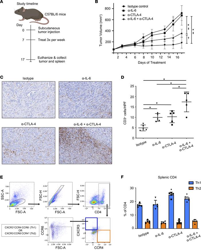
Figure 1

Combined blockade of IL-6 and CTLA-4 significantly inhibits tumor growth and promotes CD3 T cell infiltration of tumors in an s.c. murine model of pancreatic cancer.

Options: View larger image (or click on image) Download as PowerPoint
Combined blockade of IL-6 and CTLA-4 significantly inhibits tumor growth...
Study timeline is shown in (A). MT5 murine pancreatic tumor cells were s.c. injected into C57BL/6 mice with treatment beginning when tumors reached 50–100 mm3. Mice were treated with 200 mg (i.p. injection 3 times/week) of isotype control, cytokine blockade anti–IL-6 and/or anti–CTLA-4 Abs (n = 5 mice/group) until mice met prespecified IACUC-approved early removal criteria. (B) Changes in tumor volume as determined by caliper measurement throughout the course of Ab treatment. Mean ± SD; *P < 0.05 versus isotype control; ‡P < 0.05 versus anti–IL-6; and †P < 0.05 versus anti–CTLA-4 using mixed-effects regression. (C) Representative 20× images of IHC staining for CD3 in FFPE tumor tissue slices from mice in the different treatment groups. (D) Mean ± SD for percent of cells expressing CD3+ in s.c. tumors per high-powered field. Symbols represent individual mice; * indicates significance compared with isotype control-treated mice. P values for significant comparisons with ANOVA and LSD for pairwise comparisons are as follows: isotype versus α–IL-6 (0.0013); isotype versus α–CTLA-4 (0.0058); and isotype versus α–IL-6 + α–CTLA-4 (0.0058). (E) Splenocytes were isolated from the mice receiving treatment as stated in B. Flow cytometry was performed with Abs against CD4, CCR6, CXCR3, CCR4, and RORγt. CD4+CCR6–CXCR3+CCR4– were identified as suggestive of a Th1 phenotype and CD4+CCR6–CXCR3–CCR4+ as a Th2 phenotype. (F) Graph of mean percentages of CD4+ T cells that have a Th1 or Th2 phenotype. Data shown as mean ± SD; * indicates significance compared with isotype control-treated mice with ANOVA and LSD for pairwise comparisons. P values for significant comparisons are as follows: isotype versus α–CTLA-4 (< 0.0001); isotype versus α–IL-6 + α–CTLA-4 (0.0004); α–IL-6 versus α–CTLA-4 (0.0026); and α–IL-6 versus α–IL-6 + α–CTLA-4 (0.0278).

Copyright © 2026 American Society for Clinical Investigation
ISSN 2379-3708

Sign up for email alerts