Go to The Journal of Clinical Investigation
  • About
  • Editors
  • Consulting Editors
  • For authors
  • Publication ethics
  • Publication alerts by email
  • Transfers
  • Advertising
  • Job board
  • Contact
  • Physician-Scientist Development
  • Current issue
  • Past issues
  • By specialty
    • COVID-19
    • Cardiology
    • Immunology
    • Metabolism
    • Nephrology
    • Oncology
    • Pulmonology
    • All ...
  • Videos
  • Collections
    • In-Press Preview
    • Resource and Technical Advances
    • Clinical Research and Public Health
    • Research Letters
    • Editorials
    • Perspectives
    • Physician-Scientist Development
    • Reviews
    • Top read articles

  • Current issue
  • Past issues
  • Specialties
  • In-Press Preview
  • Resource and Technical Advances
  • Clinical Research and Public Health
  • Research Letters
  • Editorials
  • Perspectives
  • Physician-Scientist Development
  • Reviews
  • Top read articles
  • About
  • Editors
  • Consulting Editors
  • For authors
  • Publication ethics
  • Publication alerts by email
  • Transfers
  • Advertising
  • Job board
  • Contact
Protease-dependent defects in N-cadherin processing drive PMM2-CDG pathogenesis
Elsenoor J. Klaver, Lynn Dukes-Rimsky, Brijesh Kumar, Zhi-Jie Xia, Tammie Dang, Mark A. Lehrman, Peggi Angel, Richard R. Drake, Hudson H. Freeze, Richard Steet, Heather Flanagan-Steet
Elsenoor J. Klaver, Lynn Dukes-Rimsky, Brijesh Kumar, Zhi-Jie Xia, Tammie Dang, Mark A. Lehrman, Peggi Angel, Richard R. Drake, Hudson H. Freeze, Richard Steet, Heather Flanagan-Steet
View: Text | PDF
Research Article Development

Protease-dependent defects in N-cadherin processing drive PMM2-CDG pathogenesis

  • Text
  • PDF
Abstract

The genetic bases for the congenital disorders of glycosylation (CDG) continue to expand, but how glycosylation defects cause patient phenotypes remains largely unknown. Here, we combined developmental phenotyping and biochemical studies in a potentially new zebrafish model (pmm2sa10150) of PMM2-CDG to uncover a protease-mediated pathogenic mechanism relevant to craniofacial and motility phenotypes in mutant embryos. Mutant embryos had reduced phosphomannomutase activity and modest decreases in N-glycan occupancy as detected by matrix-assisted laser desorption ionization mass spectrometry imaging. Cellular analyses of cartilage defects in pmm2sa10150 embryos revealed a block in chondrogenesis that was associated with defective proteolytic processing, but seemingly normal N-glycosylation, of the cell adhesion molecule N-cadherin. The activities of the proconvertases and matrix metalloproteinases responsible for N-cadherin maturation were significantly altered in pmm2sa10150 mutant embryos. Importantly, pharmacologic and genetic manipulation of proconvertase activity restored matrix metalloproteinase activity, N-cadherin processing, and cartilage pathology in pmm2sa10150 embryos. Collectively, these studies demonstrate in CDG that targeted alterations in protease activity create a pathogenic cascade that affects the maturation of cell adhesion proteins critical for tissue development.

Authors

Elsenoor J. Klaver, Lynn Dukes-Rimsky, Brijesh Kumar, Zhi-Jie Xia, Tammie Dang, Mark A. Lehrman, Peggi Angel, Richard R. Drake, Hudson H. Freeze, Richard Steet, Heather Flanagan-Steet

×

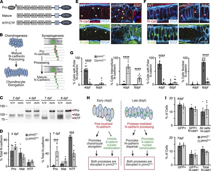
Figure 3

Defects in N-cadherin processing disrupt chondrogenesis in pmm2m/m embryos.

Options: View larger image (or click on image) Download as PowerPoint
Defects in N-cadherin processing disrupt chondrogenesis in pmm2m/m embry...
(A) Schematic representation of N-cadherin forms. N-cadherin contains a pro domain, 5 extracellular (EC1–EC5) domains, a transmembrane domain (62), and a cytosolic (CYTO) domain. Nonadhesive pro N-cadherin is proteolytically cleaved, creating mature N-cadherin (Mat). Additional processing generates signaling-competent N- and C- terminal fragments (NTF, CTF). (B) Schematic illustrates role of N-cadherin forms in chondrogenesis and synaptogenesis. Axons are shown in green and bungarotoxin-stained postsynaptic densities are red. (C) Representative N-cadherin Western blot reveals defects in processing in pmm2m/m embryos. n = 3 experiments with 15 embryos per sample per experiment. (D) Quantification of individual protein forms. Error bars show SEM, Student’s t test, ***P < 0.01. (E and F) Confocal images of chondrocytes stained immunohistochemically with N-cadherin (red) or β-catenin (green). Cell surface is stained with WGA (blue). White arrows highlight N-cadherin location. In +/+ it is primarily found at the cell poles, but in m/m N-cadherin interactions persist on opposing cell membranes. The yellow inset is a 2.5× magnification of the original panels of N-cadherin on opposing membranes. Yellow arrows highlight β-catenin location, and white dotted line highlights N-cadherin located laterally in elongated cells. Scale bars: 10 μm. (G) Graphs quantitating N-cadherin and β-catenin localization. Data presented as percentage cells within an individual cartilage. n = 10 embryos per genotype per age over 3 experiments. Error bars show SEM, Student’s t test, ****P < 0.0001. (H) Schematic illustrates model of N-cadherin localization and processing during normal and disrupted chondrogenesis. (I) The level of cell surface N-cadherin present in +/+ and m/m embryos. Shown is the percentage of total cells that are GFP+, GFP+ and N-cadherin+, or N-cadherin+. n = 3 experiments of 15, with cells isolated from pools of 15 embryos per sample. Error bars show SEM.

Copyright © 2026 American Society for Clinical Investigation
ISSN 2379-3708

Sign up for email alerts