Go to The Journal of Clinical Investigation
  • About
  • Editors
  • Consulting Editors
  • For authors
  • Publication ethics
  • Publication alerts by email
  • Transfers
  • Advertising
  • Job board
  • Contact
  • Physician-Scientist Development
  • Current issue
  • Past issues
  • By specialty
    • COVID-19
    • Cardiology
    • Immunology
    • Metabolism
    • Nephrology
    • Oncology
    • Pulmonology
    • All ...
  • Videos
  • Collections
    • In-Press Preview
    • Resource and Technical Advances
    • Clinical Research and Public Health
    • Research Letters
    • Editorials
    • Perspectives
    • Physician-Scientist Development
    • Reviews
    • Top read articles

  • Current issue
  • Past issues
  • Specialties
  • In-Press Preview
  • Resource and Technical Advances
  • Clinical Research and Public Health
  • Research Letters
  • Editorials
  • Perspectives
  • Physician-Scientist Development
  • Reviews
  • Top read articles
  • About
  • Editors
  • Consulting Editors
  • For authors
  • Publication ethics
  • Publication alerts by email
  • Transfers
  • Advertising
  • Job board
  • Contact
ANT2 drives proinflammatory macrophage activation in obesity
Jae-Su Moon, Flavia Franco da Cunha, Jin Young Huh, Alexander Yu Andreyev, Jihyung Lee, Sushil K. Mahata, Felipe C.G. Reis, Chanond A. Nasamran, Yun Sok Lee
Jae-Su Moon, Flavia Franco da Cunha, Jin Young Huh, Alexander Yu Andreyev, Jihyung Lee, Sushil K. Mahata, Felipe C.G. Reis, Chanond A. Nasamran, Yun Sok Lee
View: Text | PDF
Research Article Endocrinology Metabolism

ANT2 drives proinflammatory macrophage activation in obesity

  • Text
  • PDF
Abstract

Macrophage proinflammatory activation is an important etiologic component of the development of insulin resistance and metabolic dysfunction in obesity. However, the underlying mechanisms are not clearly understood. Here, we demonstrate that a mitochondrial inner membrane protein, adenine nucleotide translocase 2 (ANT2), mediates proinflammatory activation of adipose tissue macrophages (ATMs) in obesity. Ant2 expression was increased in ATMs of obese mice compared with lean mice. Myeloid-specific ANT2-knockout (ANT2-MKO) mice showed decreased adipose tissue inflammation and improved insulin sensitivity and glucose tolerance in HFD/obesity. At the molecular level, we found that ANT2 mediates free fatty acid–induced mitochondrial permeability transition, leading to increased mitochondrial reactive oxygen species production and damage. In turn, this increased HIF-1α expression and NF-κB activation, leading to proinflammatory macrophage activation. Our results provide a previously unknown mechanism for how obesity induces proinflammatory activation of macrophages with propagation of low-grade chronic inflammation (metaflammation).

Authors

Jae-Su Moon, Flavia Franco da Cunha, Jin Young Huh, Alexander Yu Andreyev, Jihyung Lee, Sushil K. Mahata, Felipe C.G. Reis, Chanond A. Nasamran, Yun Sok Lee

×

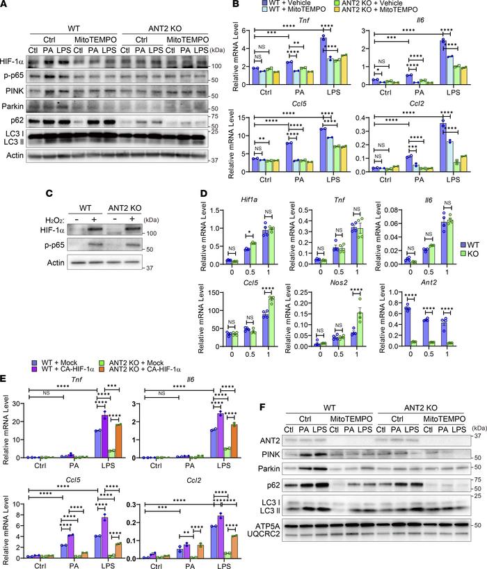
Figure 8

Increased ROS and subsequent HIF-1α stabilization mediates ANT2-dependent macrophage proinflammatory activation.

Options: View larger image (or click on image) Download as PowerPoint
Increased ROS and subsequent HIF-1α stabilization mediates ANT2-dependen...
(A) Western blot analysis of inflammatory and mitophagic pathways in WT and ANT2-MKO BMDMs treated with or without PA or LPS in the presence or absence of MitoTEMPO for 6 hours. (B) mRNA expression of inflammatory genes in WT and ANT2-MKO BMDMs treated with or without PA or LPS in the presence or absence of MitoTEMPO for 6 hours (n = 2 wells/group). (C) Western blot analysis of HIF-1α and phosphorylated p65 NF-κB levels in WT and ANT2-MKO BMDMs treated with or without H2O2 for 30 minutes. (D) mRNA expression of inflammatory genes in WT and ANT2-MKO BMDMs treated with or without H2O2 for 6 hours (n = 4 wells/group). (E) mRNA expression of inflammatory genes in WT and ANT2-MKO BMDMs transfected with mock or CA-HIF-1α–expressing plasmid vector. Forty-eight hours after transfection, cells were treated with or without PA or LPS for 8 hours (n = 2 wells/group). (F) Western blot analysis of mitophagic proteins in mitochondrial extracts purified from WT and ANT2-MKO BMDMs treated with or without PA or LPS in the presence or absence of MitoTEMPO for 4 hours. In all panels, all values are mean ± SEM. *P < 0.05; **P < 0.01; ***P < 0.001; ****P < 0.0001. NS, not significant. Statistical analysis was performed by 2-way ANOVA with Tukey’s multiple comparison test.

Copyright © 2025 American Society for Clinical Investigation
ISSN 2379-3708

Sign up for email alerts