Go to The Journal of Clinical Investigation
  • About
  • Editors
  • Consulting Editors
  • For authors
  • Publication ethics
  • Publication alerts by email
  • Transfers
  • Advertising
  • Job board
  • Contact
  • Physician-Scientist Development
  • Current issue
  • Past issues
  • By specialty
    • COVID-19
    • Cardiology
    • Immunology
    • Metabolism
    • Nephrology
    • Oncology
    • Pulmonology
    • All ...
  • Videos
  • Collections
    • In-Press Preview
    • Resource and Technical Advances
    • Clinical Research and Public Health
    • Research Letters
    • Editorials
    • Perspectives
    • Physician-Scientist Development
    • Reviews
    • Top read articles

  • Current issue
  • Past issues
  • Specialties
  • In-Press Preview
  • Resource and Technical Advances
  • Clinical Research and Public Health
  • Research Letters
  • Editorials
  • Perspectives
  • Physician-Scientist Development
  • Reviews
  • Top read articles
  • About
  • Editors
  • Consulting Editors
  • For authors
  • Publication ethics
  • Publication alerts by email
  • Transfers
  • Advertising
  • Job board
  • Contact
Pathogenic and therapeutic role for NRF2 signaling in ultraviolet light–induced skin pigmentation
Michelle L. Kerns, Robert J. Miller, Momina Mazhar, Angel S. Byrd, Nathan K. Archer, Bret L. Pinkser, Lance Lew, Carly A. Dillen, Ruizhi Wang, Lloyd S. Miller, Anna L. Chien, Sewon Kang
Michelle L. Kerns, Robert J. Miller, Momina Mazhar, Angel S. Byrd, Nathan K. Archer, Bret L. Pinkser, Lance Lew, Carly A. Dillen, Ruizhi Wang, Lloyd S. Miller, Anna L. Chien, Sewon Kang
View: Text | PDF
Research Article Dermatology

Pathogenic and therapeutic role for NRF2 signaling in ultraviolet light–induced skin pigmentation

  • Text
  • PDF
Abstract

Mottled skin pigmentation and solar lentigines from chronic photodamage with aging involve complex interactions between keratinocytes and melanocytes. However, the precise signaling mechanisms that could serve as therapeutic targets are unclear. Herein, we report that expression of nuclear factor erythroid 2–related factor 2 (NRF2), which regulates reduction-oxidation reactions, is altered in solar lentigines and photodamaged skin. Moreover, mottled skin pigmentation in humans could be treated with topical application of the NRF2 inducer sulforaphane (SF). Similarly, UV light–induced pigmentation of WT mouse ear skin could be treated or prevented with SF treatment. Conversely, SF treatment was unable to reduce UV-induced ear skin pigmentation in mice deficient in NRF2 or in mice with keratinocyte-specific conditional deletion of IL-6Rα. Taken together, NRF2 and IL-6Rα signaling are involved in the pathogenesis of UV-induced skin pigmentation, and specific enhancement of NRF2 signaling could represent a potential therapeutic target.

Authors

Michelle L. Kerns, Robert J. Miller, Momina Mazhar, Angel S. Byrd, Nathan K. Archer, Bret L. Pinkser, Lance Lew, Carly A. Dillen, Ruizhi Wang, Lloyd S. Miller, Anna L. Chien, Sewon Kang

×

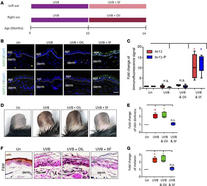
Figure 3

NRF2 agonist treatment reduces UVB-induced ear skin pigmentation in mice.

Options: View larger image (or click on image) Download as PowerPoint
NRF2 agonist treatment reduces UVB-induced ear skin pigmentation in mice...
(A) Schematic of treatment regimen for WT mice that were either untreated (Un) or received UVB exposure alone (UVB), UVB + vehicle treatment (UVB+OIL), or UVB + NRF2 agonist (SF) treatment (UVB+SF). (B) Representative indirect immunofluorescence. DAPI, nuclear staining; epi, epidermis; derm, dermis. Dotted lines delineate the dermoepidermal junction. Asterisks mark areas of increased immunofluorescence signal. Scale bar: 50 μm. (C) Fold change of immunofluorescence signal for NRF2 and NRF2-P (mean ± SEM). (D) Representative images of ear skin. (E) Fold change of skin darkness (mean ± SEM). (F) Representative Fontana-Masson (F&M) staining. Scale bar: 50 μm. (G) Fold change of melanin ± SEM. *P < 0.05, between indicated groups as calculated by a (C) 2-tailed unpaired Student’s t test or (E and G) a Mann Whitney U test. P values for were corrected for multiple comparisons using either a 2-stage linear step-up procedure of Benjamini, Krieger, and Yekutieli (t test) or a Bonferroni correction (Mann Whitney U test).

Copyright © 2026 American Society for Clinical Investigation
ISSN 2379-3708

Sign up for email alerts