Go to The Journal of Clinical Investigation
  • About
  • Editors
  • Consulting Editors
  • For authors
  • Publication ethics
  • Publication alerts by email
  • Transfers
  • Advertising
  • Job board
  • Contact
  • Physician-Scientist Development
  • Current issue
  • Past issues
  • By specialty
    • COVID-19
    • Cardiology
    • Immunology
    • Metabolism
    • Nephrology
    • Oncology
    • Pulmonology
    • All ...
  • Videos
  • Collections
    • In-Press Preview
    • Resource and Technical Advances
    • Clinical Research and Public Health
    • Research Letters
    • Editorials
    • Perspectives
    • Physician-Scientist Development
    • Reviews
    • Top read articles

  • Current issue
  • Past issues
  • Specialties
  • In-Press Preview
  • Resource and Technical Advances
  • Clinical Research and Public Health
  • Research Letters
  • Editorials
  • Perspectives
  • Physician-Scientist Development
  • Reviews
  • Top read articles
  • About
  • Editors
  • Consulting Editors
  • For authors
  • Publication ethics
  • Publication alerts by email
  • Transfers
  • Advertising
  • Job board
  • Contact
Aldehyde dehydrogenase 2 protects against acute kidney injury by regulating autophagy via the Beclin-1 pathway
Tonghui Xu, … , Yuguo Chen, Feng Xu
Tonghui Xu, … , Yuguo Chen, Feng Xu
Published July 6, 2021
Citation Information: JCI Insight. 2021;6(15):e138183. https://doi.org/10.1172/jci.insight.138183.
View: Text | PDF
Research Article Nephrology

Aldehyde dehydrogenase 2 protects against acute kidney injury by regulating autophagy via the Beclin-1 pathway

  • Text
  • PDF
Abstract

The mitochondrial enzyme aldehyde dehydrogenase 2 (ALDH2) catalyzes the detoxification of acetaldehyde and endogenous lipid aldehydes. Approximately 40% of East Asians, accounting for 8% of the human population, carry the E504K mutation in ALDH2 that leads to accumulation of toxic reactive aldehydes and increases the risk for cardiovascular disease, cancer, and Alzheimer disease, among others. However, the role of ALDH2 in acute kidney injury (AKI) remains poorly defined and is therefore the subject of the present study using various cellular and organismal sources. In murine models, in which AKI was induced by either the contrast agent iohexol or renal ischemia/reperfusion, KO, activation/overexpression of ALDH2 were associated with increased and decreased renal injury, respectively. In murine renal tubular epithelial cells (RTECs), ALDH2 upregulated Beclin-1 expression, promoted autophagy activation, and eliminated ROS. In vivo and in vitro, both 3-MA and Beclin-1 siRNAs inhibited autophagy and abolished ALDH2-mediated renoprotection. In mice with iohexol-induced AKI, ALDH2 knockdown in RTECs using AAV-shRNA impaired autophagy activation and aggravated renal injury. In human renal proximal tubular epithelial HK-2 cells exposed to iohexol, ALDH2 activation potentiated autophagy and attenuated apoptosis. In mice with AKI induced by renal ischemia/reperfusion, ALDH2 overexpression or pretreatment regulated autophagy mitigating apoptosis of RTECs and renal injury. In summary, our data collectively substantiate a critical role of ALDH2 in AKI via autophagy activation involving the Beclin-1 pathway.

Authors

Tonghui Xu, Jialin Guo, Maozeng Wei, Jiali Wang, Kehui Yang, Chang Pan, Jiaojiao Pang, Li Xue, Qiuhuan Yuan, Mengyang Xue, Jian Zhang, Wentao Sang, Tangxing Jiang, Yuguo Chen, Feng Xu

×

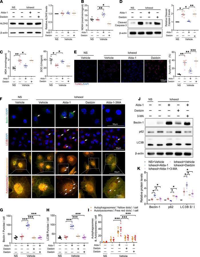
Figure 9

ALDH2 activation mediated autophagy activation and attenuated apoptosis in HK-2 cells exposed to iohexol.

Options: View larger image (or click on image) Download as PowerPoint
ALDH2 activation mediated autophagy activation and attenuated apoptosis ...
(A) Immunoblotting analysis and quantification of ALDH2 in HK2 cells. (B) ALDH2 enzymatic activity in HK-2 cells. (C) MDA and SOD expression in HK-2 cells. (D) Immunoblotting analysis and quantification of cleaved caspase-3 in HK-2 cells. (E) Representative images and quantification of TUNEL staining in HK-2 cells. Scale bar: 100 μm. (F–I) Representative images and quantification of immunofluorescence staining of Beclin-1, LC3B, and autophagic flux in HK-2 cells. Scale bar: 50 μm (first, second, and third row), 10 μm (bottom row). (J and K) Immunoblotting analysis and quantification of Beclin-1, p62, and LC3B in HK-2 cells. Data are shown as the mean ± SEM. Statistical analyses were performed using 1-way ANOVA with a post hoc test (A–K). n = 6–10. *P < 0.05, **P < 0.01, ***P < 0.001.

Copyright © 2025 American Society for Clinical Investigation
ISSN 2379-3708

Sign up for email alerts