Go to The Journal of Clinical Investigation
  • About
  • Editors
  • Consulting Editors
  • For authors
  • Publication ethics
  • Publication alerts by email
  • Transfers
  • Advertising
  • Job board
  • Contact
  • Physician-Scientist Development
  • Current issue
  • Past issues
  • By specialty
    • COVID-19
    • Cardiology
    • Immunology
    • Metabolism
    • Nephrology
    • Oncology
    • Pulmonology
    • All ...
  • Videos
  • Collections
    • In-Press Preview
    • Resource and Technical Advances
    • Clinical Research and Public Health
    • Research Letters
    • Editorials
    • Perspectives
    • Physician-Scientist Development
    • Reviews
    • Top read articles

  • Current issue
  • Past issues
  • Specialties
  • In-Press Preview
  • Resource and Technical Advances
  • Clinical Research and Public Health
  • Research Letters
  • Editorials
  • Perspectives
  • Physician-Scientist Development
  • Reviews
  • Top read articles
  • About
  • Editors
  • Consulting Editors
  • For authors
  • Publication ethics
  • Publication alerts by email
  • Transfers
  • Advertising
  • Job board
  • Contact

Issue highlight: June 7, 2018

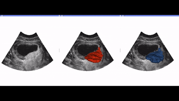
Automated segmentation to estimate placental volume

Published June 21, 2018, by Journal staff

Issue highlight

Related articles

Fully automated, real-time 3D ultrasound segmentation to estimate first trimester placental volume using deep learning
Pádraig Looney, Gordon N. Stevenson, Kypros H. Nicolaides, Walter Plasencia, Malid Molloholli, Stavros Natsis, Sally L. Collins
Pádraig Looney, Gordon N. Stevenson, Kypros H. Nicolaides, Walter Plasencia, Malid Molloholli, Stavros Natsis, Sally L. Collins
View: Text | PDF
Research Article Reproductive biology

Fully automated, real-time 3D ultrasound segmentation to estimate first trimester placental volume using deep learning

  • Text
  • PDF
Abstract

We present a new technique to fully automate the segmentation of an organ from 3D ultrasound (3D-US) volumes, using the placenta as the target organ. Image analysis tools to estimate organ volume do exist but are too time consuming and operator dependant. Fully automating the segmentation process would potentially allow the use of placental volume to screen for increased risk of pregnancy complications. The placenta was segmented from 2,393 first trimester 3D-US volumes using a semiautomated technique. This was quality controlled by three operators to produce the “ground-truth” data set. A fully convolutional neural network (OxNNet) was trained using this ground-truth data set to automatically segment the placenta. OxNNet delivered state-of-the-art automatic segmentation. The effect of training set size on the performance of OxNNet demonstrated the need for large data sets. The clinical utility of placental volume was tested by looking at predictions of small-for-gestational-age babies at term. The receiver-operating characteristics curves demonstrated almost identical results between OxNNet and the ground-truth). Our results demonstrated good similarity to the ground-truth and almost identical clinical results for the prediction of SGA.

Authors

Pádraig Looney, Gordon N. Stevenson, Kypros H. Nicolaides, Walter Plasencia, Malid Molloholli, Stavros Natsis, Sally L. Collins

×
Advertisement

Copyright © 2026 American Society for Clinical Investigation
ISSN 2379-3708

Sign up for email alerts