Go to The Journal of Clinical Investigation
  • About
  • Editors
  • Consulting Editors
  • For authors
  • Publication ethics
  • Publication alerts by email
  • Transfers
  • Advertising
  • Job board
  • Contact
  • Physician-Scientist Development
  • Current issue
  • Past issues
  • By specialty
    • COVID-19
    • Cardiology
    • Immunology
    • Metabolism
    • Nephrology
    • Oncology
    • Pulmonology
    • All ...
  • Videos
  • Collections
    • In-Press Preview
    • Resource and Technical Advances
    • Clinical Research and Public Health
    • Research Letters
    • Editorials
    • Perspectives
    • Physician-Scientist Development
    • Reviews
    • Top read articles

  • Current issue
  • Past issues
  • Specialties
  • In-Press Preview
  • Resource and Technical Advances
  • Clinical Research and Public Health
  • Research Letters
  • Editorials
  • Perspectives
  • Physician-Scientist Development
  • Reviews
  • Top read articles
  • About
  • Editors
  • Consulting Editors
  • For authors
  • Publication ethics
  • Publication alerts by email
  • Transfers
  • Advertising
  • Job board
  • Contact
CAVIN3 deficiency promotes vascular normalization in ocular neovascular disease via ERK/JAG1 signaling pathway
Weiqi Li, Yeran Zhang, Hongjing Zhu, Na Su, Ruxu Sun, Xiying Mao, Qin Yang, Songtao Yuan
Weiqi Li, Yeran Zhang, Hongjing Zhu, Na Su, Ruxu Sun, Xiying Mao, Qin Yang, Songtao Yuan
View: Text | PDF
Research Article Angiogenesis Ophthalmology

CAVIN3 deficiency promotes vascular normalization in ocular neovascular disease via ERK/JAG1 signaling pathway

  • Text
  • PDF
Abstract

Multiple members of the caveolae-associated protein (Cavin) family are implicated in angiogenesis. However, the specific role of CAVIN3 in pathological angiogenesis within the eye remains unclear. The present study demonstrated that CAVIN3 knockdown in endothelial cells (ECs) promoted vascular normalization in ocular pathological neovascularization. Elevated CAVIN3 expression was observed in the ECs of retinal pigment epithelium/choroid complexes from patients with neovascular age-related macular degeneration and fibrovascular membranes from patients with proliferative diabetic retinopathy. Additionally, upregulated Cavin3 expression was detected in laser-induced choroidal neovascularization (CNV) and oxygen-induced retinopathy (OIR) mouse models. In both OIR and CNV mice, Cavin3 knockdown inhibited pathological neovascularization. Cavin3 deficiency further disrupted EC proliferation and vascular sprouting, thereby promoting vascular normalization by partially restoring microenvironmental hypoxia and reestablishing pericyte-EC interactions. Mechanistically, we demonstrated that zinc finger E-box–binding homeobox 1 (ZEB1) regulated CAVIN3 transcription in ECs under hypoxic conditions. CAVIN3 deficiency modulated pathological vascularization by inhibiting ERK phosphorylation, which downregulated jagged 1 (JAG1) expression. Conclusively, this study elucidated the protective role of endothelial CAVIN3 deficiency in pathological neovascularization models, addressing a gap in understanding the regulatory role of Cavins in angiogenesis. These findings suggested a therapeutic direction for ocular neovascular diseases.

Authors

Weiqi Li, Yeran Zhang, Hongjing Zhu, Na Su, Ruxu Sun, Xiying Mao, Qin Yang, Songtao Yuan

×

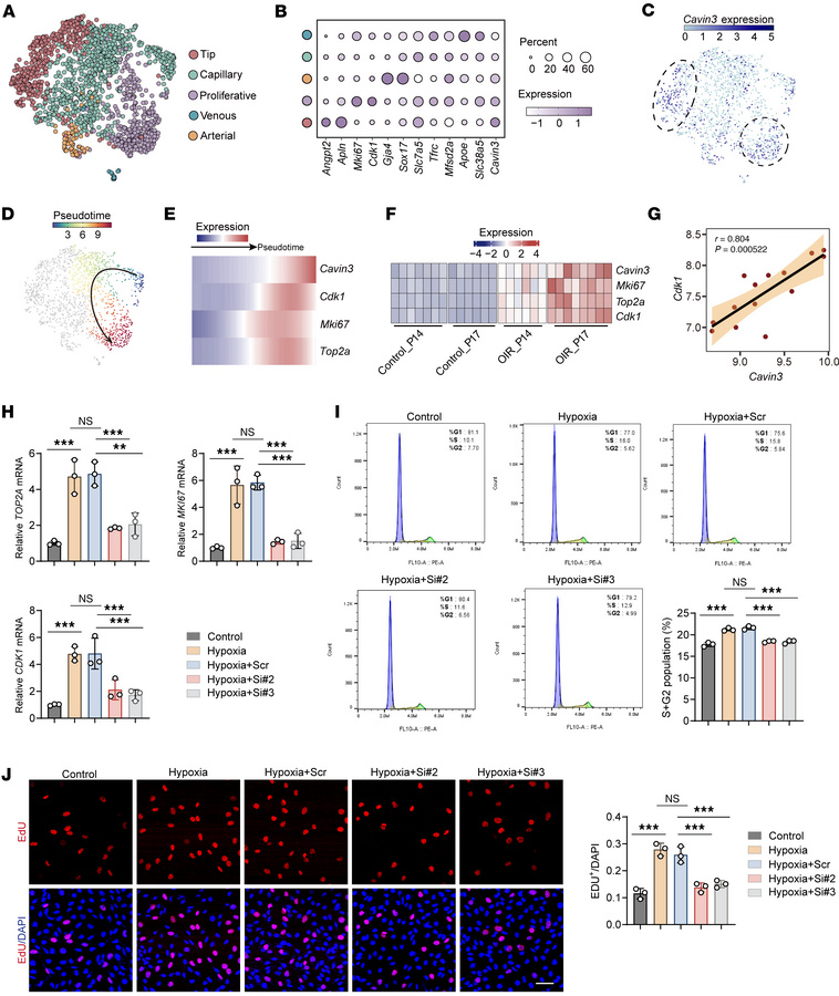
Figure 5

CAVIN3 deficiency inhibits EC proliferation in pathological conditions.

Options: View larger image (or click on image) Download as PowerPoint
CAVIN3 deficiency inhibits EC proliferation in pathological conditions.
...
(A) UMAP visualization plot classifying subpopulations of Cd31-positive cells in the retinas of OIR mice, where ECs are categorized as tip, proliferative, capillary, arterial, and venous ECs. (B) Bubble plot displays the percentage and expression of classical marker–positive cells in each subpopulation. (C) Dot plot illustrates the distribution of Cavin3 in the clusters of retinal ECs. (D and E) Pseudotime-ordered analyses show the expression of Cavin3 and proliferative markers during the differentiation of common ECs into proliferative ECs. (F) A heatmap depicts the changes in Cavin3 and proliferative markers along with the pseudotime. (G) Correlation analysis shows a correlation between Cavin3 and Cdk1 expression. (H) mRNA levels of proliferation marker genes (TOP2A, MKI67, and CDK1) in control HRMECs, hypoxia-treated HRMECs, or hypoxia-treated HRMECs transfected with scramble siRNA/CAVIN3-siRNA. n = 3 per group. (I) Flow cytometry analysis of control HRMECs, hypoxia-treated HRMECs, or hypoxia-treated HRMECs transfected with scramble siRNA/CAVIN3-siRNA. n = 3 per group. (J) EDU assay on control HRMECs, hypoxia-treated HRMECs, or hypoxia-treated HRMECs transfected with scramble siRNA/CAVIN3-siRNA. n = 3 per group. Scale bar: 50 μm. Data are presented as mean ± SD. **P < 0.01, ***P < 0.001 by 1-way ANOVA with Tukey’s multiple-comparison test (H–J).

Copyright © 2026 American Society for Clinical Investigation
ISSN 2379-3708

Sign up for email alerts