Go to The Journal of Clinical Investigation
  • About
  • Editors
  • Consulting Editors
  • For authors
  • Publication ethics
  • Publication alerts by email
  • Transfers
  • Advertising
  • Job board
  • Contact
  • Physician-Scientist Development
  • Current issue
  • Past issues
  • By specialty
    • COVID-19
    • Cardiology
    • Immunology
    • Metabolism
    • Nephrology
    • Oncology
    • Pulmonology
    • All ...
  • Videos
  • Collections
    • In-Press Preview
    • Resource and Technical Advances
    • Clinical Research and Public Health
    • Research Letters
    • Editorials
    • Perspectives
    • Physician-Scientist Development
    • Reviews
    • Top read articles

  • Current issue
  • Past issues
  • Specialties
  • In-Press Preview
  • Resource and Technical Advances
  • Clinical Research and Public Health
  • Research Letters
  • Editorials
  • Perspectives
  • Physician-Scientist Development
  • Reviews
  • Top read articles
  • About
  • Editors
  • Consulting Editors
  • For authors
  • Publication ethics
  • Publication alerts by email
  • Transfers
  • Advertising
  • Job board
  • Contact
CAVIN3 deficiency promotes vascular normalization in ocular neovascular disease via ERK/JAG1 signaling pathway
Weiqi Li, Yeran Zhang, Hongjing Zhu, Na Su, Ruxu Sun, Xiying Mao, Qin Yang, Songtao Yuan
Weiqi Li, Yeran Zhang, Hongjing Zhu, Na Su, Ruxu Sun, Xiying Mao, Qin Yang, Songtao Yuan
View: Text | PDF
Research Article Angiogenesis Ophthalmology

CAVIN3 deficiency promotes vascular normalization in ocular neovascular disease via ERK/JAG1 signaling pathway

  • Text
  • PDF
Abstract

Multiple members of the caveolae-associated protein (Cavin) family are implicated in angiogenesis. However, the specific role of CAVIN3 in pathological angiogenesis within the eye remains unclear. The present study demonstrated that CAVIN3 knockdown in endothelial cells (ECs) promoted vascular normalization in ocular pathological neovascularization. Elevated CAVIN3 expression was observed in the ECs of retinal pigment epithelium/choroid complexes from patients with neovascular age-related macular degeneration and fibrovascular membranes from patients with proliferative diabetic retinopathy. Additionally, upregulated Cavin3 expression was detected in laser-induced choroidal neovascularization (CNV) and oxygen-induced retinopathy (OIR) mouse models. In both OIR and CNV mice, Cavin3 knockdown inhibited pathological neovascularization. Cavin3 deficiency further disrupted EC proliferation and vascular sprouting, thereby promoting vascular normalization by partially restoring microenvironmental hypoxia and reestablishing pericyte-EC interactions. Mechanistically, we demonstrated that zinc finger E-box–binding homeobox 1 (ZEB1) regulated CAVIN3 transcription in ECs under hypoxic conditions. CAVIN3 deficiency modulated pathological vascularization by inhibiting ERK phosphorylation, which downregulated jagged 1 (JAG1) expression. Conclusively, this study elucidated the protective role of endothelial CAVIN3 deficiency in pathological neovascularization models, addressing a gap in understanding the regulatory role of Cavins in angiogenesis. These findings suggested a therapeutic direction for ocular neovascular diseases.

Authors

Weiqi Li, Yeran Zhang, Hongjing Zhu, Na Su, Ruxu Sun, Xiying Mao, Qin Yang, Songtao Yuan

×

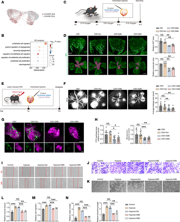
Figure 3

CAVIN3 deficiency prevents pathological neovascularization.

Options: View larger image (or click on image) Download as PowerPoint
CAVIN3 deficiency prevents pathological neovascularization.
(A) CAVIN3+ ...
(A) CAVIN3+ ECs (red dots) and CAVIN3– ECs (blue dots) are shown on the UMAP plot. (B) GO analysis reveals biological processes underlying the major enrichment of DEGs between CAVIN3+ ECs and CAVIN3– ECs. (C) Experimental scheme for D and Figure 4. (D) Immunofluorescent staining of IB4 in retinas from OIR mice without treatment or OIR mice injected with scramble siRNA/Cavin3-siRNA on P17. Blue areas indicate NVTs in the upper, partially magnified retinal flat mounts, while magenta areas mark avascular areas. n = 6 per group. Scale bar: 50 μm. (E) Experimental protocols for F and G. (F) Fluorescein fundus angiography (FFA) images of CNV mice without treatment or CNV mice injected with scramble siRNA/Cavin3-siRNA. CNV leakage area was quantified and compared. n = 14 burns. (G and H) Immunofluorescent staining of IB4 and FITC-dextran in the RPE-choroid-sclera complex of CNV mice without treatment or CNV mice injected with scramble siRNA/Cavin3-siRNA. n = 12 burns per group. Scale bars: 100 μm. (I and L) Scratch test on untreated HRMECs, hypoxia-treated HRMECs, or hypoxia-treated HRMECs transfected with scramble siRNA/CAVIN3-siRNA. n = 3 per group. Scale bar: 200 μm. (J and M) Transwell migration assay on untreated HRMECs, hypoxia-treated HRMECs, or hypoxia-treated HRMECs transfected with scramble siRNA/CAVIN3-siRNA. n = 3 per group. Scale bar: 100 μm. (K and N) Tube formation assay on untreated HRMECs, hypoxia-treated HRMECs, or hypoxia-treated HRMECs transfected with scramble siRNA/CAVIN3-siRNA. n = 3 per group. Scale bars: 100 μm. Data are presented as mean ± SD. *P < 0.05; **P < 0.01; ***P < 0.001 by 1-way ANOVA with Tukey’s multiple-comparison test.

Copyright © 2026 American Society for Clinical Investigation
ISSN 2379-3708

Sign up for email alerts