Go to The Journal of Clinical Investigation
  • About
  • Editors
  • Consulting Editors
  • For authors
  • Publication ethics
  • Publication alerts by email
  • Transfers
  • Advertising
  • Job board
  • Contact
  • Physician-Scientist Development
  • Current issue
  • Past issues
  • By specialty
    • COVID-19
    • Cardiology
    • Immunology
    • Metabolism
    • Nephrology
    • Oncology
    • Pulmonology
    • All ...
  • Videos
  • Collections
    • In-Press Preview
    • Resource and Technical Advances
    • Clinical Research and Public Health
    • Research Letters
    • Editorials
    • Perspectives
    • Physician-Scientist Development
    • Reviews
    • Top read articles

  • Current issue
  • Past issues
  • Specialties
  • In-Press Preview
  • Resource and Technical Advances
  • Clinical Research and Public Health
  • Research Letters
  • Editorials
  • Perspectives
  • Physician-Scientist Development
  • Reviews
  • Top read articles
  • About
  • Editors
  • Consulting Editors
  • For authors
  • Publication ethics
  • Publication alerts by email
  • Transfers
  • Advertising
  • Job board
  • Contact
Obesity modulates NK cell activity via LDL and DUSP1 signaling for populations with adverse social determinants
Yvonne Baumer, Komudi Singh, Abhinav Saurabh, Andrew S. Baez, Cristhian A. Gutierrez-Huerta, Long Chen, Muna Igboko, Briana S. Turner, Josette A. Yeboah, Robert N. Reger, Lola R. Ortiz-Whittingham, Sahil Joshi, Marcus R. Andrews, Elizabeth M. Aquino Peterson, Christopher K.E. Bleck, Laurel G. Mendelsohn, Valerie M. Mitchell, Billy S. Collins, Neelam R. Redekar, Skyler A. Kuhn, Christian A. Combs, Mehdi Pirooznia, Pradeep K. Dagur, David S.J. Allan, Daniella M. Schwartz, Richard W. Childs, Tiffany M. Powell-Wiley
Yvonne Baumer, Komudi Singh, Abhinav Saurabh, Andrew S. Baez, Cristhian A. Gutierrez-Huerta, Long Chen, Muna Igboko, Briana S. Turner, Josette A. Yeboah, Robert N. Reger, Lola R. Ortiz-Whittingham, Sahil Joshi, Marcus R. Andrews, Elizabeth M. Aquino Peterson, Christopher K.E. Bleck, Laurel G. Mendelsohn, Valerie M. Mitchell, Billy S. Collins, Neelam R. Redekar, Skyler A. Kuhn, Christian A. Combs, Mehdi Pirooznia, Pradeep K. Dagur, David S.J. Allan, Daniella M. Schwartz, Richard W. Childs, Tiffany M. Powell-Wiley
View: Text | PDF
Research Article Cardiology Immunology

Obesity modulates NK cell activity via LDL and DUSP1 signaling for populations with adverse social determinants

  • Text
  • PDF
Abstract

African American (AA) women are disproportionately affected by obesity and hyperlipidemia, particularly in the setting of adverse social determinants of health (aSDoH) that contribute to health disparities. Obesity, hyperlipidemia, and aSDoH appear to impair NK cells. As potential common underlying mechanisms are largely unknown, we sought to investigate common signaling pathways involved in NK cell dysfunction related to obesity and hyperlipidemia in AA women from underresourced neighborhoods. We determined in freshly isolated NK cells that obesity and measures of aSDoH were associated with a shift in NK cell subsets away from CD56dim/CD16+ cytotoxic NK cells. Using ex vivo data, we identified LDL as a marker related to NK cell function in an AA population from underresourced neighborhoods. Additionally, NK cells from AA women with obesity and LDL-treated NK cells displayed a loss in NK cell function. Comparative unbiased RNA-sequencing analysis revealed DUSP1 as a common factor. Subsequently, chemical inhibition of Dusp1 and Dusp1 overexpression in NK cells highlighted its significance in NK cell function and lysosome biogenesis in a mTOR/TFEB-related fashion. Our data demonstrate a pathway by which obesity and hyperlipidemia in the setting of aSDoH may relate to NK cell dysfunction, making DUSP1 an important target for further investigation of health disparities.

Authors

Yvonne Baumer, Komudi Singh, Abhinav Saurabh, Andrew S. Baez, Cristhian A. Gutierrez-Huerta, Long Chen, Muna Igboko, Briana S. Turner, Josette A. Yeboah, Robert N. Reger, Lola R. Ortiz-Whittingham, Sahil Joshi, Marcus R. Andrews, Elizabeth M. Aquino Peterson, Christopher K.E. Bleck, Laurel G. Mendelsohn, Valerie M. Mitchell, Billy S. Collins, Neelam R. Redekar, Skyler A. Kuhn, Christian A. Combs, Mehdi Pirooznia, Pradeep K. Dagur, David S.J. Allan, Daniella M. Schwartz, Richard W. Childs, Tiffany M. Powell-Wiley

×

Figure 2

LDL is associated with NK cell dysfunction in the setting of obesity and adverse social determinants and in vitro experiments.

Options: View larger image (or click on image) Download as PowerPoint
LDL is associated with NK cell dysfunction in the setting of obesity and...
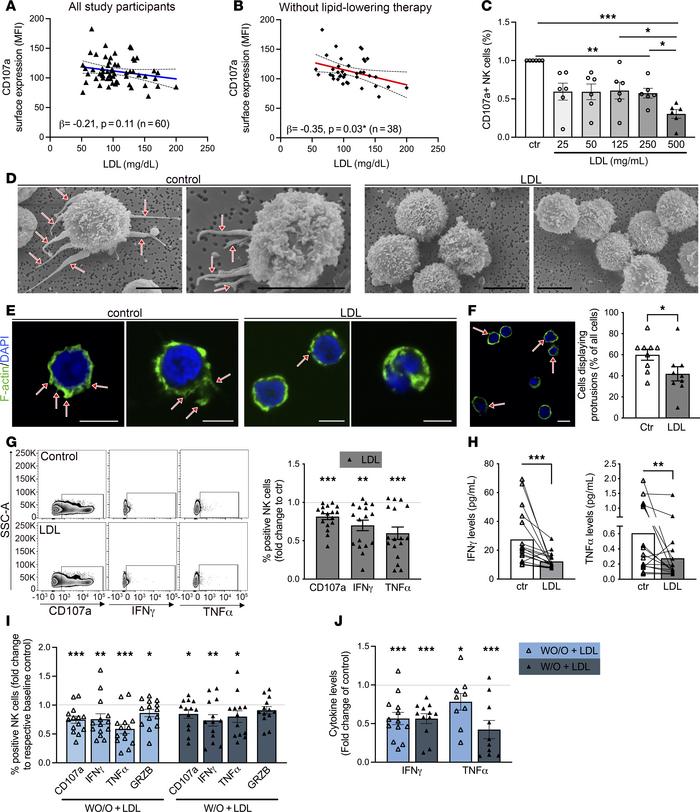
(A and B) NK cells were isolated from a healthy blood bank donor, treated overnight with study participants’ sera (n = 60), and subsequently subjected to the degranulation assay toward K562 cells. Surface CD107a expression levels were utilized in multivariable regression analysis against LDL levels of the study participants. (A) Data from all 60 study participants. (B) Data from participants without lipid-lowering therapy (subgroup n = 38). (C) Freshly isolated primary NK cells from blood bank donors were incubated with increasing doses of LDL, and the effect on degranulation (CD107a) after exposure to K562 cells was measured using flow cytometry. (D–J) NK cells from healthy blood bank donors were treated overnight with LDL (50 mg/dl) or vehicle control. (D) Utilizing scanning electron microscopy, the presence of protrusions (arrows) was examined as a sign of NK cell activity (n = 3). (E and F) Labeling the actin cytoskeleton of treated NK cells using FITC-Phalloidin with subsequent confocal microscopy imaging allowed for quantification of cells presenting protrusions (n = 9, unpaired 2-tailed t test). (G and H) Degranulation assay was performed after overnight treatment (G,n = 17, Mann-Whitney test). Supernatants were subjected to ELISA-based measurement of secreted cytokines (H) (n = 17, Wilcoxon test for each cytokine set). (I and J) NK cells were isolated from age-matched AA female participants with (W/O) or without (WO/O) obesity (BMI ≥ 30, n = 13 and BMI < 30, n = 14), treated with LDL overnight and subsequently subjected to the degranulation assay (I), and the levels of secreted cytokines were determined by ELISA (IFN-γ, WO/O, n = 13 and W/O, n = 12; TNF-α, WO/O, n = 9 and W/O, n = 10) (J). Significance was established at P < 0.05, comparing individual groups with an unpaired t test (I, F, and G) or Mann-Whitney test (I, H, and J) dependent on dataset normality test; all tests were 2 tailed; asterisks indicate significance between groups. *P < 0.05; **P < 0.01; ***P < 0.001. Scale bar: 5 μm.

Copyright © 2026 American Society for Clinical Investigation
ISSN 2379-3708

Sign up for email alerts