Go to The Journal of Clinical Investigation
  • About
  • Editors
  • Consulting Editors
  • For authors
  • Publication ethics
  • Publication alerts by email
  • Transfers
  • Advertising
  • Job board
  • Contact
  • Physician-Scientist Development
  • Current issue
  • Past issues
  • By specialty
    • COVID-19
    • Cardiology
    • Immunology
    • Metabolism
    • Nephrology
    • Oncology
    • Pulmonology
    • All ...
  • Videos
  • Collections
    • In-Press Preview
    • Resource and Technical Advances
    • Clinical Research and Public Health
    • Research Letters
    • Editorials
    • Perspectives
    • Physician-Scientist Development
    • Reviews
    • Top read articles

  • Current issue
  • Past issues
  • Specialties
  • In-Press Preview
  • Resource and Technical Advances
  • Clinical Research and Public Health
  • Research Letters
  • Editorials
  • Perspectives
  • Physician-Scientist Development
  • Reviews
  • Top read articles
  • About
  • Editors
  • Consulting Editors
  • For authors
  • Publication ethics
  • Publication alerts by email
  • Transfers
  • Advertising
  • Job board
  • Contact
Pharmacological induction of MHC-I expression in tumor cells revitalizes T cell antitumor immunity
Qian Yu, … , Yongjun Dang, Wei Jiang
Qian Yu, … , Yongjun Dang, Wei Jiang
Published August 6, 2024
Citation Information: JCI Insight. 2024;9(17):e177788. https://doi.org/10.1172/jci.insight.177788.
View: Text | PDF
Research Article Oncology

Pharmacological induction of MHC-I expression in tumor cells revitalizes T cell antitumor immunity

  • Text
  • PDF
Abstract

Antigen presentation by major histocompatibility complex class I (MHC-I) is crucial for T cell–mediated killing, and aberrant surface MHC-I expression is tightly associated with immune evasion. To address MHC-I downregulation, we conducted a high-throughput flow cytometry screen, identifying bleomycin (BLM) as a potent inducer of cell surface MHC-I expression. BLM-induced MHC-I augmentation rendered tumor cells more susceptible to T cells in coculture assays and enhanced antitumor responses in an adoptive cellular transfer mouse model. Mechanistically, BLM remodeled the tumor immune microenvironment, inducing MHC-I expression in a manner dependent on ataxia-telangiectasia mutated/ataxia telangiectasia and Rad3-related–NF-κB. Furthermore, BLM improved T cell–dependent immunotherapeutic approaches, including bispecific antibody therapy, immune checkpoint therapy, and autologous tumor-infiltrating lymphocyte therapy. Importantly, low-dose BLM treatment in mouse models amplified the antitumor effect of immunotherapy without detectable pulmonary toxicity. In summary, our findings repurpose BLM as a potential inducer of MHC-I, enhancing its expression to improve the efficacy of T cell–based immunotherapy.

Authors

Qian Yu, Yu Dong, Xiaobo Wang, Chenxuan Su, Runkai Zhang, Wei Xu, Shuai Jiang, Yongjun Dang, Wei Jiang

×

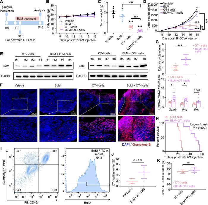
Figure 2

Potentiated antitumor response of T cells by BLM treatment.

Options: View larger image (or click on image) Download as PowerPoint
Potentiated antitumor response of T cells by BLM treatment.
(A) Experime...
(A) Experimental procedure for the adoptive T cell transfer. (B–D) Mouse body weight (B), tumor weight (C), and tumor volume (D); n = 8 per group. (E) Western blot analysis of B2M level in tumor tissues as indicated. (F) Mouse melanoma tissues were stained for granzyme B (red) together with DAPI (blue) (scale bars, 200 μm). (G) qRT-PCR analysis of gene expression of antitumor effector molecules including granzyme B (Gzmb), IFN-γ (Ifng), and perforin (Prf1) in tumor tissues. (H) Kaplan-Meier curves for B16OVA tumor–bearing mice treated with OT-I cells or with the combination treatment of OT-I cells and BLM. (I) Representative flow cytometry plot of transferred OT-I T cells (CD45.1+CD8+) and BrdU staining. (J and K) Three days after transfer, the frequencies of transferred OT-I cells (CD45.1+CD8+) (J) and BrdU+ OT-I cells (K) were quantified in tumors from B16OVA tumor–bearing mice pretreated by BLM or not; n = 5 per group. Data are shown as mean ± SD. *P < 0.05, and ***P < 0.001 compared with the vehicle group by 1-way ANOVA (C and D) and unpaired t test (E, G, J, and K); ##P < 0.01, and ###P < 0.001 between the indicated groups by unpaired t test (C and D).

Copyright © 2025 American Society for Clinical Investigation
ISSN 2379-3708

Sign up for email alerts