Go to The Journal of Clinical Investigation
  • About
  • Editors
  • Consulting Editors
  • For authors
  • Publication ethics
  • Publication alerts by email
  • Transfers
  • Advertising
  • Job board
  • Contact
  • Physician-Scientist Development
  • Current issue
  • Past issues
  • By specialty
    • COVID-19
    • Cardiology
    • Immunology
    • Metabolism
    • Nephrology
    • Oncology
    • Pulmonology
    • All ...
  • Videos
  • Collections
    • In-Press Preview
    • Resource and Technical Advances
    • Clinical Research and Public Health
    • Research Letters
    • Editorials
    • Perspectives
    • Physician-Scientist Development
    • Reviews
    • Top read articles

  • Current issue
  • Past issues
  • Specialties
  • In-Press Preview
  • Resource and Technical Advances
  • Clinical Research and Public Health
  • Research Letters
  • Editorials
  • Perspectives
  • Physician-Scientist Development
  • Reviews
  • Top read articles
  • About
  • Editors
  • Consulting Editors
  • For authors
  • Publication ethics
  • Publication alerts by email
  • Transfers
  • Advertising
  • Job board
  • Contact
Increased hepatic glucose production with lower oxidative metabolism in the growth-restricted fetus
Laura D. Brown, Paul J. Rozance, Dong Wang, Evren C. Eroglu, Randall B. Wilkening, Ashley Solmonson, Stephanie R. Wesolowski
Laura D. Brown, Paul J. Rozance, Dong Wang, Evren C. Eroglu, Randall B. Wilkening, Ashley Solmonson, Stephanie R. Wesolowski
View: Text | PDF
Research Article Reproductive biology

Increased hepatic glucose production with lower oxidative metabolism in the growth-restricted fetus

  • Text
  • PDF
Abstract

Fetal growth restriction (FGR) is accompanied by early activation of hepatic glucose production (HGP), a hallmark of type 2 diabetes (T2D). Here, we used fetal hepatic catheterization to directly measure HGP and substrate flux in a sheep FGR model. We hypothesized that FGR fetuses would have increased hepatic lactate and amino acid uptake to support increased HGP. Indeed, FGR fetuses compared with normal (CON) fetuses had increased HGP and activation of gluconeogenic genes. Unexpectedly, hepatic pyruvate output was increased, while hepatic lactate and gluconeogenic amino acid uptake rates were decreased in FGR liver. Hepatic oxygen consumption and total substrate uptake rates were lower. In FGR liver tissue, metabolite abundance, 13C-metabolite labeling, enzymatic activity, and gene expression supported decreased pyruvate oxidation and increased lactate production. Isolated hepatocytes from FGR fetuses had greater intrinsic capacity for lactate-fueled glucose production. FGR livers also had lower energy (ATP) and redox state (NADH/NAD+ ratio). Thus, reduced hepatic oxidative metabolism may make carbons available for increased HGP, but also produces nutrient and energetic stress in FGR liver. Intrinsic programming of these pathways regulating HGP in the FGR fetus may underlie increased HGP and T2D risk postnatally.

Authors

Laura D. Brown, Paul J. Rozance, Dong Wang, Evren C. Eroglu, Randall B. Wilkening, Ashley Solmonson, Stephanie R. Wesolowski

×

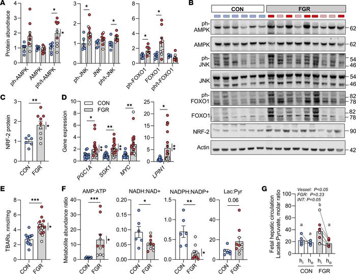
Figure 6

Nutrient signaling and oxidative stress.

Options: View larger image (or click on image) Download as PowerPoint
Nutrient signaling and oxidative stress.
(A) Protein expression in CON a...
(A) Protein expression in CON and FGR livers for phosphorylated (ph-) and total protein abundance of AMPK (T172), JNK (T183/Y185), and FOXO1 (T24). Ratios of phosphorylated to total protein were calculated. (B) Representative Western blot images, with molecular weights of protein bands indicated. Actin shown for equality of loading. (C) Total abundance of NRF-2. (D) Hepatic expression of genes associated with nutrient and stress signaling. (E) Hepatic TBARS content. (F) Liver tissue metabolite abundance ratios for AMP/ATP, NADH/NAD+, NADPH/NADP+, and lactate/pyruvate (Lac:Pyr). (G) Blood lactate/pyruvate ratio measured across the fetal hepatic circulation with input (hin) and output (hout) shown. Means ± SEM are shown (n = 6 CON, 9–10 FGR, except panel E with n = 14 CON, 21 FGR). Results were analyzed by Student’s t test. *P < 0.05, **P < 0.01, ***P < 0.001. When P > 0.05, the value is shown. Data points on graphs or blot lanes representing samples from FGR fetuses with moderate (pink) or severe (red) growth restriction are indicated. Weight-threshold differences comparing moderate (light pink) versus severe (dark red) FGR were analyzed by 2-tailed Student’s t test and are indicated by a vertical line.

Copyright © 2026 American Society for Clinical Investigation
ISSN 2379-3708

Sign up for email alerts