Go to The Journal of Clinical Investigation
  • About
  • Editors
  • Consulting Editors
  • For authors
  • Publication ethics
  • Publication alerts by email
  • Transfers
  • Advertising
  • Job board
  • Contact
  • Physician-Scientist Development
  • Current issue
  • Past issues
  • By specialty
    • COVID-19
    • Cardiology
    • Immunology
    • Metabolism
    • Nephrology
    • Oncology
    • Pulmonology
    • All ...
  • Videos
  • Collections
    • In-Press Preview
    • Resource and Technical Advances
    • Clinical Research and Public Health
    • Research Letters
    • Editorials
    • Perspectives
    • Physician-Scientist Development
    • Reviews
    • Top read articles

  • Current issue
  • Past issues
  • Specialties
  • In-Press Preview
  • Resource and Technical Advances
  • Clinical Research and Public Health
  • Research Letters
  • Editorials
  • Perspectives
  • Physician-Scientist Development
  • Reviews
  • Top read articles
  • About
  • Editors
  • Consulting Editors
  • For authors
  • Publication ethics
  • Publication alerts by email
  • Transfers
  • Advertising
  • Job board
  • Contact
Treg cells promote decidual vascular remodeling and modulate uterine NK cells in pregnant mice
Shanna L. Hosking, Lachlan M. Moldenhauer, Ha M. Tran, Hon Y. Chan, Holly M. Groome, Evangeline A.K. Lovell, Ella S. Green, Stephanie E. O’Hara, Claire T. Roberts, Kerrie L. Foyle, Sandra T. Davidge, Sarah A. Robertson, Alison S. Care
Shanna L. Hosking, Lachlan M. Moldenhauer, Ha M. Tran, Hon Y. Chan, Holly M. Groome, Evangeline A.K. Lovell, Ella S. Green, Stephanie E. O’Hara, Claire T. Roberts, Kerrie L. Foyle, Sandra T. Davidge, Sarah A. Robertson, Alison S. Care
View: Text | PDF
Research Article Immunology Reproductive biology

Treg cells promote decidual vascular remodeling and modulate uterine NK cells in pregnant mice

  • Text
  • PDF
Abstract

Regulatory T (Treg) cells are essential for maternal immune tolerance of the fetus and placenta. In preeclampsia, aberrant Treg cell tolerance is implicated, but how Treg cells affect the uterine vascular dysfunction thought to precede placental impairment and maternal vasculopathy is unclear. We used Foxp3-diphtheria toxin receptor mice to test the hypothesis that Treg cells are essential regulators of decidual spiral artery adaptation to pregnancy. Transient Treg cell depletion during early placental morphogenesis caused impaired remodeling of decidual spiral arteries, altered uterine artery function, and fewer Dolichos biflorus agglutinin+ uterine natural killer (uNK) cells, resulting in late-gestation fetal loss and fetal growth restriction. Replacing the Treg cells by transfer from wild-type donors mitigated the impact on uNK cells, vascular remodeling, and fetal loss. RNA sequencing of decidua revealed genes associated with NK cell function and placental extravillous trophoblasts were dysregulated after Treg cell depletion and normalized by Treg cell replacement. These data implicate Treg cells as essential upstream drivers of uterine vascular adaptation to pregnancy, through a mechanism likely involving phenotypic regulation of uNK cells and trophoblast invasion. The findings provide insight into mechanisms linking impaired adaptive immune tolerance and altered spiral artery remodeling, 2 hallmark features of preeclampsia.

Authors

Shanna L. Hosking, Lachlan M. Moldenhauer, Ha M. Tran, Hon Y. Chan, Holly M. Groome, Evangeline A.K. Lovell, Ella S. Green, Stephanie E. O’Hara, Claire T. Roberts, Kerrie L. Foyle, Sandra T. Davidge, Sarah A. Robertson, Alison S. Care

×

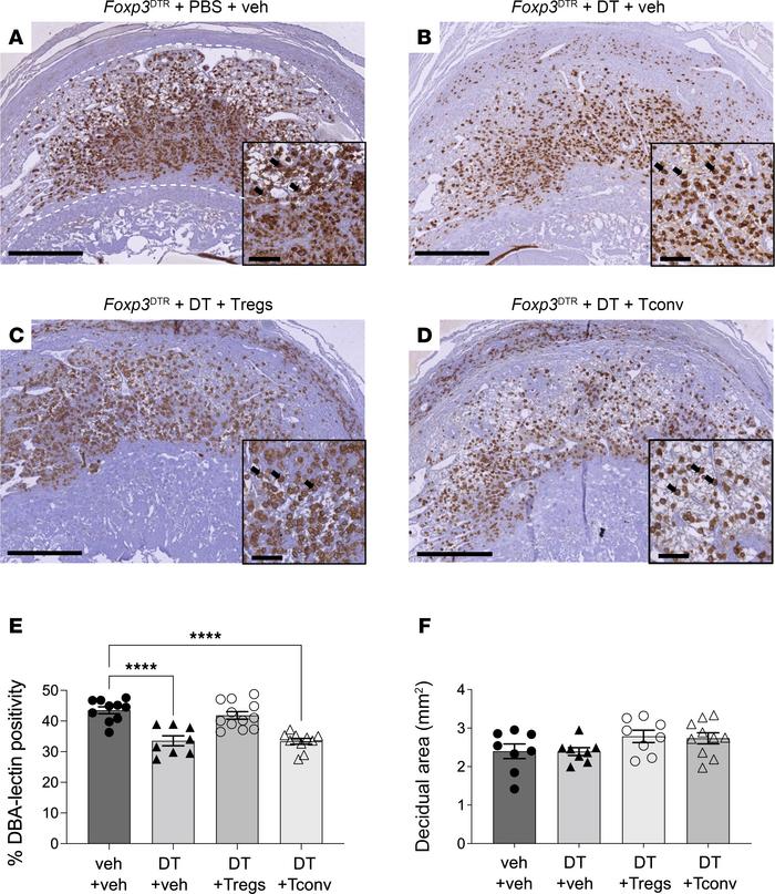
Figure 6

Treg cell depletion causes a reduction in DBA+ uNK cells in midgestation that is mitigated by Treg cell transfer.

Options: View larger image (or click on image) Download as PowerPoint
Treg cell depletion causes a reduction in DBA+ uNK cells in midgestation...
Pregnant Foxp3DTR mice were administered PBS (veh) or DT i.p. on GD3.5 and GD5.5, and then tissues were collected on GD10.5. Some mice also received WT Treg cells or Tconv cells on GD2.5 and GD4.5. Tissues were collected on GD10.5. (A–D) Decidual tissue sections were labeled with biotinylated DBA-lectin to detect the DBA+ subset of uNK cells that predominates in pregnancy (brown stain, arrows). (E) The percentage positivity for DBA+ uNK cells was quantified. (F) The decidual region of each section (marked, dotted line in A) was identified and measured. N = 2 implantation sites per dam, 8–12 dams per group. Data are mean ± SEM. Data points are average values for individual dams. Analysis was by 1-way ANOVA with 2-tailed post hoc t test. ****P < 0.0001. Scale bars: 500 μm; insets = 100 μm.

Copyright © 2026 American Society for Clinical Investigation
ISSN 2379-3708

Sign up for email alerts