Go to The Journal of Clinical Investigation
  • About
  • Editors
  • Consulting Editors
  • For authors
  • Publication ethics
  • Publication alerts by email
  • Transfers
  • Advertising
  • Job board
  • Contact
  • Physician-Scientist Development
  • Current issue
  • Past issues
  • By specialty
    • COVID-19
    • Cardiology
    • Immunology
    • Metabolism
    • Nephrology
    • Oncology
    • Pulmonology
    • All ...
  • Videos
  • Collections
    • In-Press Preview
    • Resource and Technical Advances
    • Clinical Research and Public Health
    • Research Letters
    • Editorials
    • Perspectives
    • Physician-Scientist Development
    • Reviews
    • Top read articles

  • Current issue
  • Past issues
  • Specialties
  • In-Press Preview
  • Resource and Technical Advances
  • Clinical Research and Public Health
  • Research Letters
  • Editorials
  • Perspectives
  • Physician-Scientist Development
  • Reviews
  • Top read articles
  • About
  • Editors
  • Consulting Editors
  • For authors
  • Publication ethics
  • Publication alerts by email
  • Transfers
  • Advertising
  • Job board
  • Contact
A gut-oral microbiome–driven axis controls oropharyngeal candidiasis through retinoic acid
Felix E.Y. Aggor, Martinna Bertolini, Chunsheng Zhou, Tiffany C. Taylor, Darryl A. Abbott, Javonn Musgrove, Vincent M. Bruno, Timothy W. Hand, Sarah L. Gaffen
Felix E.Y. Aggor, Martinna Bertolini, Chunsheng Zhou, Tiffany C. Taylor, Darryl A. Abbott, Javonn Musgrove, Vincent M. Bruno, Timothy W. Hand, Sarah L. Gaffen
View: Text | PDF
Research Article Immunology

A gut-oral microbiome–driven axis controls oropharyngeal candidiasis through retinoic acid

  • Text
  • PDF
Abstract

A side effect of antibiotics is outgrowth of the opportunistic fungus Candida albicans in the oropharynx (oropharyngeal candidiasis, OPC). IL-17 signaling is vital for immunity to OPC, but how the microbiome impacts antifungal immunity is not well understood. Mice in standard specific pathogen–free (SPF) conditions are resistant to OPC, whereas we show that germ-free (GF) or antibiotic-treated mice are susceptible. Oral type 17 cells and IL-17–dependent responses were impaired in antibiotic-treated and GF mice. Susceptibility could be rescued in GF mice by mono-colonization with segmented filamentous bacterium (SFB), an intestine-specific constituent of the microbiota. SFB protection was accompanied by restoration of oral IL-17+CD4+ T cells and gene signatures characteristic of IL-17 signaling. Additionally, RNA-Seq revealed induction of genes in the retinoic acid (RA) and RA receptor–α (RARα) pathway. Administration of RA rescued immunity to OPC in microbiome-depleted or GF mice, while RAR inhibition caused susceptibility in immunocompetent animals. Surprisingly, immunity to OPC was independent of serum amyloids. Moreover, RAR inhibition did not alter oral type 17 cytokine levels. Thus, mono-colonization with a component of the intestinal microflora confers protection against OPC by type 17 and RA/RARα, which act in parallel to promote antifungal immunity. In principle, manipulation of the microbiome could be harnessed to maintain antifungal immunity.

Authors

Felix E.Y. Aggor, Martinna Bertolini, Chunsheng Zhou, Tiffany C. Taylor, Darryl A. Abbott, Javonn Musgrove, Vincent M. Bruno, Timothy W. Hand, Sarah L. Gaffen

×

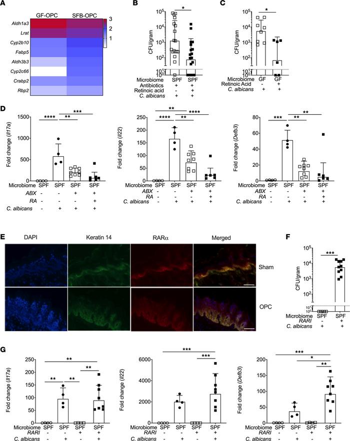
Figure 5

The RA pathway is induced by SFB mono-colonization and promotes immunity to OPC.

Options: View larger image (or click on image) Download as PowerPoint
The RA pathway is induced by SFB mono-colonization and promotes immunity...
(A) Heatmap showing selected genes in the RA/RAR pathway comparing GF-OPC and SFB-OPC mouse groups normalized to respective sham controls. (B) WT-SPF mice were given Abx for 7 days and infected orally with C. albicans. Mice were administered RA or vehicle i.p. starting day –6 relative to infection until day 5 p.i. Fungal burdens were assessed by plating and CFU enumeration. Data are from 2 independent experiments. Graphs show geometric mean ± SD analyzed by Mann-Whitney U test. (C) GF mice were administered RA or vehicle by oral gavage on alternating days starting day –6 until day 5 p.i. Fungal burdens were assessed by plating and CFU enumeration. Data are from 2 independent experiments. Graphs show geometric mean ± SD analyzed by Mann-Whitney U test. (D) WT-SPF mice were treated with Abx 7 days. Mice were administered RA or vehicle i.p. starting on day –6 until day 2 p.i. RNA from whole tongue at day 2 p.i. was analyzed by qPCR for indicated genes normalized to Gapdh. Graphs show mean ± SEM analyzed by ANOVA and Tukey’s multiple comparisons test. (E) WT-SPF mice were infected orally with C. albicans for 2 days. Tongue cryosections were stained for DAPI, K14, and RARα. Data representative of 3–5 mice per group. (F) WT-SPF mice were treated with RAR inhibitor (RARI; BMS493) or vehicle. Fungal burdens were assessed by plating and CFU enumeration. Graphs show geometric mean ± SD, analyzed by Mann-Whitney U test. Data pooled from 2 experiments. (G) WT-SPF mice were administered RARI or vehicle and infected orally with C. albicans. RNA from whole tongue at day 2 p.i. was subjected to qPCR for the indicated genes normalized to Gapdh. Graphs show mean ± SEM, analyzed by ANOVA and Tukey’s multiple comparisons test. Data pooled from 2 experiments. *P < 0.05, ** < 0.01, *** < 0.001, **** < 0.0001.

Copyright © 2026 American Society for Clinical Investigation
ISSN 2379-3708

Sign up for email alerts