Go to The Journal of Clinical Investigation
  • About
  • Editors
  • Consulting Editors
  • For authors
  • Publication ethics
  • Publication alerts by email
  • Transfers
  • Advertising
  • Job board
  • Contact
  • Physician-Scientist Development
  • Current issue
  • Past issues
  • By specialty
    • COVID-19
    • Cardiology
    • Immunology
    • Metabolism
    • Nephrology
    • Oncology
    • Pulmonology
    • All ...
  • Videos
  • Collections
    • In-Press Preview
    • Resource and Technical Advances
    • Clinical Research and Public Health
    • Research Letters
    • Editorials
    • Perspectives
    • Physician-Scientist Development
    • Reviews
    • Top read articles

  • Current issue
  • Past issues
  • Specialties
  • In-Press Preview
  • Resource and Technical Advances
  • Clinical Research and Public Health
  • Research Letters
  • Editorials
  • Perspectives
  • Physician-Scientist Development
  • Reviews
  • Top read articles
  • About
  • Editors
  • Consulting Editors
  • For authors
  • Publication ethics
  • Publication alerts by email
  • Transfers
  • Advertising
  • Job board
  • Contact
Exploiting 4-1BB immune checkpoint to enhance the efficacy of oncolytic virotherapy for diffuse intrinsic pontine gliomas
Virginia Laspidea, Montserrat Puigdelloses, Sara Labiano, Lucía Marrodán, Marc Garcia-Moure, Marta Zalacain, Marisol Gonzalez-Huarriz, Naiara Martínez-Vélez, Iker Ausejo-Mauleon, Daniel de la Nava, Guillermo Herrador-Cañete, Javier Marco-Sanz, Elisabeth Guruceaga, Carlos E. de Andrea, María Villalba, Oren Becher, Massimo Squatrito, Verónica Matía, Jaime Gállego Pérez-Larraya, Ana Patiño-García, Sumit Gupta, Candelaria Gomez-Manzano, Juan Fueyo, Marta M. Alonso
Virginia Laspidea, Montserrat Puigdelloses, Sara Labiano, Lucía Marrodán, Marc Garcia-Moure, Marta Zalacain, Marisol Gonzalez-Huarriz, Naiara Martínez-Vélez, Iker Ausejo-Mauleon, Daniel de la Nava, Guillermo Herrador-Cañete, Javier Marco-Sanz, Elisabeth Guruceaga, Carlos E. de Andrea, María Villalba, Oren Becher, Massimo Squatrito, Verónica Matía, Jaime Gállego Pérez-Larraya, Ana Patiño-García, Sumit Gupta, Candelaria Gomez-Manzano, Juan Fueyo, Marta M. Alonso
View: Text | PDF
Research Article Immunology Oncology

Exploiting 4-1BB immune checkpoint to enhance the efficacy of oncolytic virotherapy for diffuse intrinsic pontine gliomas

  • Text
  • PDF
Abstract

Diffuse intrinsic pontine gliomas (DIPGs) are aggressive pediatric brain tumors, and patient survival has not changed despite many therapeutic efforts, emphasizing the urgent need for effective treatments. Here, we evaluated the anti-DIPG effect of the oncolytic adenovirus Delta-24-ACT, which was engineered to express the costimulatory ligand 4-1BBL to potentiate the antitumor immune response of the virus. Delta-24-ACT induced the expression of functional 4-1BBL on the membranes of infected DIPG cells, which enhanced the costimulation of CD8+ T lymphocytes. In vivo, Delta-24-ACT treatment of murine DIPG orthotopic tumors significantly improved the survival of treated mice, leading to long-term survivors that developed immunological memory against these tumors. In addition, Delta-24-ACT was safe and caused no local or systemic toxicity. Mechanistic studies showed that Delta-24-ACT modulated the tumor-immune content, not only increasing the number, but also improving the functionality of immune cells. All of these data highlight the safety and potential therapeutic benefit of Delta-24-ACT the treatment of patients with DIPG.

Authors

Virginia Laspidea, Montserrat Puigdelloses, Sara Labiano, Lucía Marrodán, Marc Garcia-Moure, Marta Zalacain, Marisol Gonzalez-Huarriz, Naiara Martínez-Vélez, Iker Ausejo-Mauleon, Daniel de la Nava, Guillermo Herrador-Cañete, Javier Marco-Sanz, Elisabeth Guruceaga, Carlos E. de Andrea, María Villalba, Oren Becher, Massimo Squatrito, Verónica Matía, Jaime Gállego Pérez-Larraya, Ana Patiño-García, Sumit Gupta, Candelaria Gomez-Manzano, Juan Fueyo, Marta M. Alonso

×

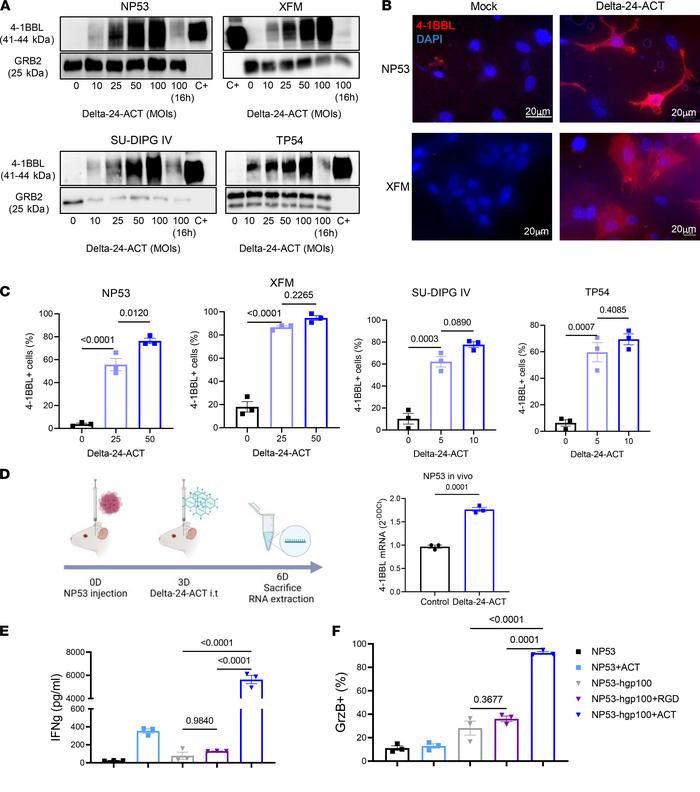
Figure 1

Characterization of Delta-24-ACT functionality in DIPG.

Options: View larger image (or click on image) Download as PowerPoint
Characterization of Delta-24-ACT functionality in DIPG.
(A) 4-1BBL prote...
(A) 4-1BBL protein expression in NP53, XFM, SU-DIPG IV, and TP54 cells infected with Delta-24-ACT at the indicated MOIs, as determined by Western blotting. C+, 4-1BBL recombinant protein. (B) Representative immunofluorescence images of 4-1BBL expression in NP53- and XFM-infected cells compared with mock-infected cells. Scale bar: 20 μm. (C) 4-1BBL protein expression in the membranes of murine and human cells infected with Delta-24-ACT at the indicated MOIs, as determined by flow cytometry. The percentage of 4-1BBL+ cells is shown. One-way ANOVA was performed (n = 3, each group), and P values are shown above respective bars. Data are shown as the mean ± SEM. (D) Schedule of the experiment for the in vivo determination of 4-1BBL expression, and evaluation of 4-1BBL protein expression in NP53 tumors from control- or Delta-24-ACT–treated mice (n = 3), as determined by Q-PCR. Data are shown as the mean ± SEM. (E) IFN-γ and (F) granzyme B production by CD8+ lymphocytes. CD8+ T cells from PMEL mice were cocultured with NP53 cells infected with Delta-24-RGD, Delta-24-ACT (MOI = 100), or the mock control. CD8+ lymphocytes activated with CD3 and CD28 but not NP53 cells, and CD8+ lymphocytes activated with CD3, CD28, and 4-1BB antibody were used as negative and positive controls for the experiment, respectively. One-way ANOVA was performed (n = 3, each group), and P values are shown above respective bars. Data are shown as the mean ± SEM.

Copyright © 2026 American Society for Clinical Investigation
ISSN 2379-3708

Sign up for email alerts