Go to The Journal of Clinical Investigation
  • About
  • Editors
  • Consulting Editors
  • For authors
  • Publication ethics
  • Publication alerts by email
  • Transfers
  • Advertising
  • Job board
  • Contact
  • Physician-Scientist Development
  • Current issue
  • Past issues
  • By specialty
    • COVID-19
    • Cardiology
    • Immunology
    • Metabolism
    • Nephrology
    • Oncology
    • Pulmonology
    • All ...
  • Videos
  • Collections
    • In-Press Preview
    • Resource and Technical Advances
    • Clinical Research and Public Health
    • Research Letters
    • Editorials
    • Perspectives
    • Physician-Scientist Development
    • Reviews
    • Top read articles

  • Current issue
  • Past issues
  • Specialties
  • In-Press Preview
  • Resource and Technical Advances
  • Clinical Research and Public Health
  • Research Letters
  • Editorials
  • Perspectives
  • Physician-Scientist Development
  • Reviews
  • Top read articles
  • About
  • Editors
  • Consulting Editors
  • For authors
  • Publication ethics
  • Publication alerts by email
  • Transfers
  • Advertising
  • Job board
  • Contact
CDK12 regulates cellular metabolism to promote glioblastoma growth
Jeong-Yeon Mun, Chang Shu, Qiuqiang Gao, Zhe Zhu, Hasan O. Akman, Mike-Andrew Westhoff, Georg Karpel-Massler, Markus D. Siegelin
Jeong-Yeon Mun, Chang Shu, Qiuqiang Gao, Zhe Zhu, Hasan O. Akman, Mike-Andrew Westhoff, Georg Karpel-Massler, Markus D. Siegelin
View: Text | PDF
Research Article Metabolism Oncology

CDK12 regulates cellular metabolism to promote glioblastoma growth

  • Text
  • PDF
Abstract

Glioblastoma IDH-wildtype is the most common and aggressive primary brain tumor in adults, with poor prognosis despite current therapies. To identify new therapeutic vulnerabilities, we investigated the role of CDK12, a transcription-associated cyclin-dependent kinase, in glioblastoma. Genetic or pharmacologic inactivation of CDK12 impaired tumor growth in patient-derived xenograft (PDX) models and enhanced the efficacy of temozolomide. Metabolic profiling using extracellular flux analysis and stable isotope tracing with U-¹³C-glucose and U-¹³C-glutamine showed that CDK12 inhibition disrupted mitochondrial respiration, resulting in energy depletion and apoptotic cell death characterized by caspase activation and Noxa induction. Mechanistically, we identified a direct interaction between CDK12 and GSK3β. CDK12 inhibition activated GSK3β, leading to downregulation of PPARD, a transcriptional regulator of oxidative metabolism. This CDK12/GSK3β/PPARD axis was required for glioblastoma cell proliferation and metabolic homeostasis. In vivo, CDK12 inhibition significantly extended survival without overt toxicity and induced complete tumor regression in a subset of animals. Strikingly, combined CDK12 inhibition and temozolomide treatment led to complete tumor eradication in all animals tested. These findings establish CDK12 as a key regulator of glioblastoma metabolism and survival, and provide strong preclinical rationale for its therapeutic targeting in combination with standard-of-care treatments.

Authors

Jeong-Yeon Mun, Chang Shu, Qiuqiang Gao, Zhe Zhu, Hasan O. Akman, Mike-Andrew Westhoff, Georg Karpel-Massler, Markus D. Siegelin

×

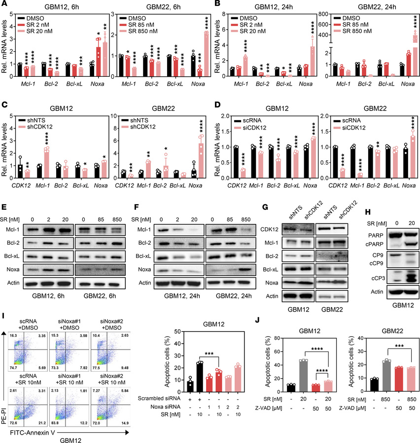
Figure 3

Inhibition of CDK12 influences apoptosis pathways, through downregulation of antiapoptotic Bcl-2 family and upregulation of proapoptotic Noxa, thereby enhancing caspase activation and apoptosis in GBM cells.

Options: View larger image (or click on image) Download as PowerPoint
Inhibition of CDK12 influences apoptosis pathways, through downregulatio...
(A and B) The qPCR analysis of apoptosis-related genes of GBM12 and GBM22 cells treated with increasing concentrations of SR for 6 hours and 24 hours. qPCR data are presented as mean ± SD. (C and D) The qPCR analysis in apoptosis-related genes of loss of CDK12, and siCDK12 in GBM12 and GBM22 cells. The qPCR data are presented as mean ± SD. (E–G) GBM12 and GBM22 cells were treated with SR for 6 or 24 hours, lysed, and subjected to Western blot analysis using the indicated antibodies to assess the expression of antiapoptotic Bcl-2 family proteins (Mcl-1, Bcl-xL, and Bcl-2) and the proapoptotic protein (Noxa). Representative immunoblots are shown. (H) Western blot results after SR treatment using anti-PARP, anti–cleaved caspase-9, and anti–cleaved caspase-3. (I) GBM12 cells were transfected with siNoxa_1 and 2 and treated with SR for 72 hours and analyzed by flow cytometry using annexin V/PI staining. The bar graph shows the percentage of apoptotic cells. Data are presented as mean ± SD. (J) GBM12 and GBM22 cells were treated with SR-4835, Z-VAD (50 μM), or a combination of both. Apoptosis was assessed by flow cytometry using annexin V/PI staining. The percentage of apoptotic cells was quantified. Data are presented as mean ± SD. *P < 0.05; **P < 0.01; ***P < 0.001; ****P < 0.0001 by 1-way ANOVA with Dunnett’s multiple-comparison test (A, B, I, and J) or unpaired, 2-tailed t test (C and D).

Copyright © 2026 American Society for Clinical Investigation
ISSN 2379-3708

Sign up for email alerts