Go to The Journal of Clinical Investigation
  • About
  • Editors
  • Consulting Editors
  • For authors
  • Publication ethics
  • Publication alerts by email
  • Transfers
  • Advertising
  • Job board
  • Contact
  • Physician-Scientist Development
  • Current issue
  • Past issues
  • By specialty
    • COVID-19
    • Cardiology
    • Immunology
    • Metabolism
    • Nephrology
    • Oncology
    • Pulmonology
    • All ...
  • Videos
  • Collections
    • In-Press Preview
    • Resource and Technical Advances
    • Clinical Research and Public Health
    • Research Letters
    • Editorials
    • Perspectives
    • Physician-Scientist Development
    • Reviews
    • Top read articles

  • Current issue
  • Past issues
  • Specialties
  • In-Press Preview
  • Resource and Technical Advances
  • Clinical Research and Public Health
  • Research Letters
  • Editorials
  • Perspectives
  • Physician-Scientist Development
  • Reviews
  • Top read articles
  • About
  • Editors
  • Consulting Editors
  • For authors
  • Publication ethics
  • Publication alerts by email
  • Transfers
  • Advertising
  • Job board
  • Contact
The brain-body circuit mediates acute stress–induced antiinflammatory reflex in bacterial cystitis by suppressing ILC2 activation
Yaxiao Liu, … , Qiang Fu, Qingyu Ren
Yaxiao Liu, … , Qiang Fu, Qingyu Ren
Published March 18, 2025
Citation Information: JCI Insight. 2025;10(9):e189362. https://doi.org/10.1172/jci.insight.189362.
View: Text | PDF
Research Article Infectious disease Inflammation

The brain-body circuit mediates acute stress–induced antiinflammatory reflex in bacterial cystitis by suppressing ILC2 activation

  • Text
  • PDF
Abstract

Urinary tract infections (UTIs) are one of the most commonly encountered infections in clinical practice, in which psychological stress is a critical pathological contributor to modulate immune function. However, mechanistic pathways linking stress networks in the brain to bladder infection remain poorly understood. In this study, we discovered that acute stress treatment suppressed bladder inflammation in mice with UTIs, and a substantial number of neurons showing overlap between inflammation-associated markers and retrograde labeling were observed in the paraventricular nucleus (PVN) brain region of these mice. Activation of the PVN alleviated uropathogenic Escherichia coli–induced bladder inflammatory response. Moreover, a blocked hypothalamic-pituitary-adrenal axis reversed the antiinflammatory reflex mediated by acute stress, suggesting that glucocorticoids may modulate UTIs through the brain-body circuit. Single-cell RNA-Seq of bladder immune cells revealed that type 2 innate lymphoid (ILC2) cells expressed abundant levels of glucocorticoid receptor. The activation of the PVN effectively inhibited the expression of the pro-inflammatory cytokine colony-stimulating factor 2 by ILC2 cells through direct regulation of cell-intrinsic glucocorticoid signaling. Ultimately, our study has implications for the positioning of the brain-body circuit for UTI treatment.

Authors

Yaxiao Liu, Jinhua Wang, Junyang Lin, Dingqi Sun, Kejia Zhu, Tongxiang Diao, Qiang Fu, Qingyu Ren

×

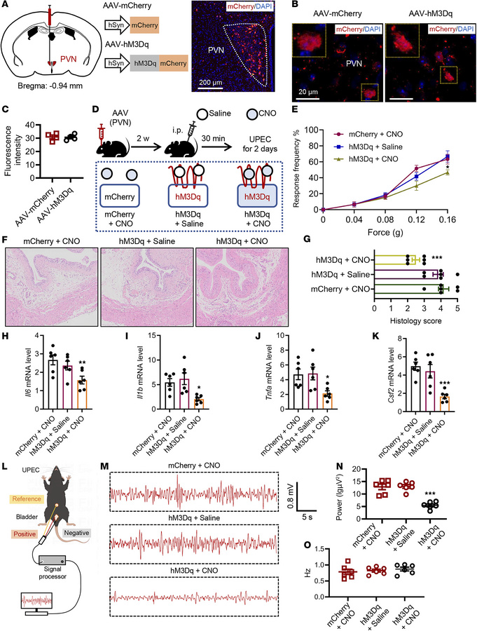
Figure 4

Chemogenetic activation of PVN neurons attenuates bladder inflammation during UPEC infection.

Options: View larger image (or click on image) Download as PowerPoint
Chemogenetic activation of PVN neurons attenuates bladder inflammation d...
(A) Left: Diagram of the injection of AAV-mCherry or AAV-hM3Dq virus into the PVN. Right: representative images of virus expression in the PVN on day 14. Scale bar, 200 μm. (B) The AAV-mCherry or AAV-hM3Dq virus acts on PVN neurons. Scale bar, 20 μm. (C) Fluorescence intensity of mCherry in PVN (n = 4 mice per group). (D) Diagram of CNO (5 mg/kg) intraperitoneal injection procedure activating PVN neurons in UPEC mice. (E) Mice were assessed for pelvic tactile allodynia/hyperalgesia (n = 10 mice per group). *P < 0.05 vs. mCherry + CNO group. (F) H&E staining of bladders. (G) Histology scores were assessed after infection (n = 6 mice per group). ***P < 0.001 vs. mCherry + CNO group. (H–K) The mRNA levels of Il6, Il1b, Tnfa, and Csf2 of mice (n = 6 mice per group). *P < 0.05, **P < 0.01 vs. mCherry + CNO group. (L) Diagram illustrating the localization of LFP electrode implants into the bladder wall. (M) Representative examples of LFP traces from the bladder wall. (N) LFP power in the bladder wall within 1 minute (n = 6 mice per group). ***P < 0.001 vs. mCherry + CNO group. (O) LFP frequency in the bladder wall within 1 minute (n = 6 mice per group). ***P < 0.001 vs. mCherry + CNO group. Results are presented as mean ± SEM and analyzed by 2-tailed Student’s t tests (E) or 1-way ANOVA with Tukey’s corrections for multiple comparisons (G–K and N).

Copyright © 2025 American Society for Clinical Investigation
ISSN 2379-3708

Sign up for email alerts