Go to The Journal of Clinical Investigation
  • About
  • Editors
  • Consulting Editors
  • For authors
  • Publication ethics
  • Publication alerts by email
  • Transfers
  • Advertising
  • Job board
  • Contact
  • Physician-Scientist Development
  • Current issue
  • Past issues
  • By specialty
    • COVID-19
    • Cardiology
    • Immunology
    • Metabolism
    • Nephrology
    • Oncology
    • Pulmonology
    • All ...
  • Videos
  • Collections
    • In-Press Preview
    • Resource and Technical Advances
    • Clinical Research and Public Health
    • Research Letters
    • Editorials
    • Perspectives
    • Physician-Scientist Development
    • Reviews
    • Top read articles

  • Current issue
  • Past issues
  • Specialties
  • In-Press Preview
  • Resource and Technical Advances
  • Clinical Research and Public Health
  • Research Letters
  • Editorials
  • Perspectives
  • Physician-Scientist Development
  • Reviews
  • Top read articles
  • About
  • Editors
  • Consulting Editors
  • For authors
  • Publication ethics
  • Publication alerts by email
  • Transfers
  • Advertising
  • Job board
  • Contact
Neutrophils initiate proinflammatory immune responses in early endometriosis lesion development
Taylor R. Wilson, Kurt R. Peterson, Stephanie A. Morris, Damaris Kuhnell, Susan Kasper, Katherine A. Burns
Taylor R. Wilson, Kurt R. Peterson, Stephanie A. Morris, Damaris Kuhnell, Susan Kasper, Katherine A. Burns
View: Text | PDF
Research Article Immunology Inflammation Reproductive biology

Neutrophils initiate proinflammatory immune responses in early endometriosis lesion development

  • Text
  • PDF
Abstract

Endometriosis is a chronic gynecological disease that affects 1 in 10 reproductive-aged women. Most studies investigate established disease; however, the initiation and early events in endometriotic lesion development remain poorly understood. Our study used neutrophils from human menstrual effluent from patients with and without endometriosis for immunophenotyping, and it used a mouse model of endometriosis and a mouse endometriosis cell line to determine the role of neutrophils in the initiating events of endometriosis, including attachment and survival of minced endometrial pieces. In menstrual effluent from women with endometriosis, the ratios of aged and proangiogenic neutrophils increased compared with controls, indicating a potentially permissive proinflammatory microenvironment. In our endometriosis mouse model, knocking down neutrophil recruitment with α-CXCR2 into the peritoneum decreased endometrial tissue adhesion — supported by decreased levels of myeloperoxidase and neutrophil elastase in both developing lesions and peritoneal fluid. Fibrinogen was identified as the preferred substrate for endometrial cell adhesion in an in vitro adhesion assay and in developing lesions in vivo. Together, aged and proangiogenic neutrophils and their secretions likely promote attachment and formation of endometriotic lesions by releasing neutrophil extracellular traps and upregulating fibrinogen expression as a provisional matrix to establish attachment and survival in the development of endometriosis lesions.

Authors

Taylor R. Wilson, Kurt R. Peterson, Stephanie A. Morris, Damaris Kuhnell, Susan Kasper, Katherine A. Burns

×

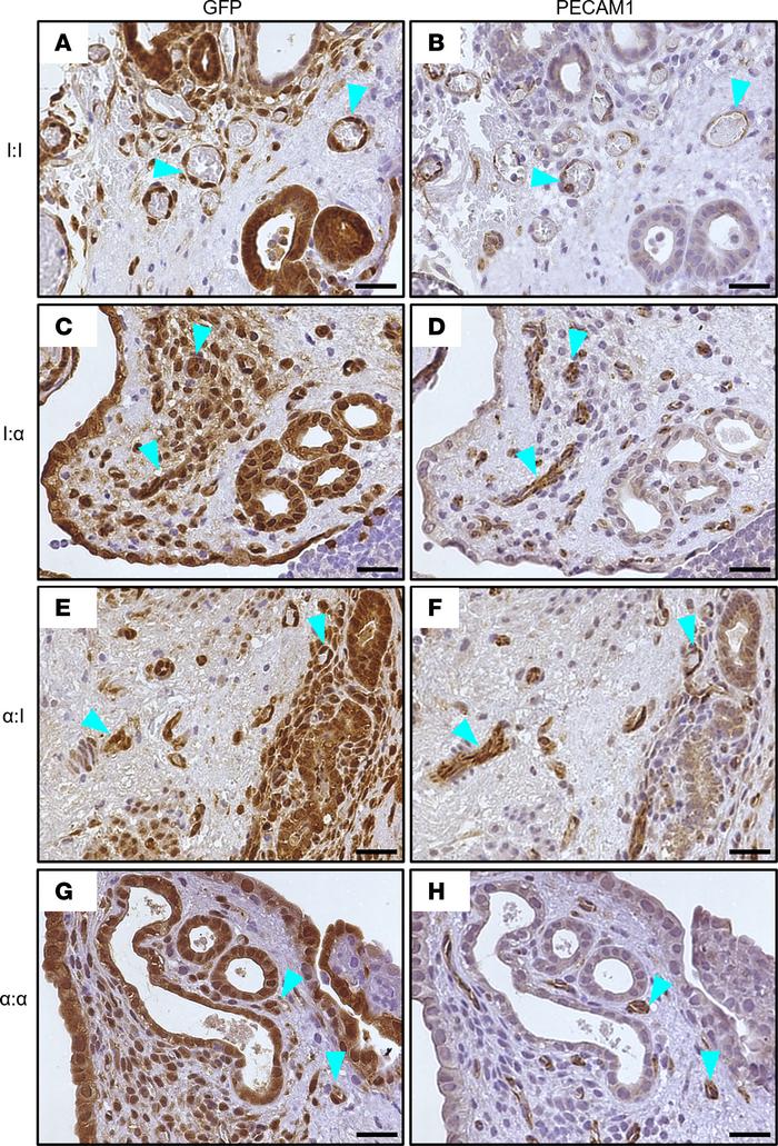
Figure 6

Endometriosis lesions include existing GFP+ donor-derived blood vessels and not de novo–derived blood vessels, regardless of neutrophil knockdown 24 hours after endometriosis induction.

Options: View larger image (or click on image) Download as PowerPoint
Endometriosis lesions include existing GFP+ donor-derived blood vessels ...
(A, C, E, and G) Developing endometriosis lesions stained for GFP donor-derived tissue are GFP+ (brown stain) and contain endometrial glands from minced uterine tissue. (B, D, F, and H) Developing endometriosis lesions were stained to visualize endothelial cells lining blood vessels for PECAM1 (brown staining). Representative blood vessels (teal arrowheads) found in developing lesions from serial sections stained for GFP and PECAM1. GFP: I:I (n = 12), I:α (n = 16), α:I (n = 18), and α:α (n = 14). PECAM1: I:I (n = 12), I:α (n = 18), α:I (n = 18), and α:α (n = 14). Lesions per group represent biological replicates from 2 independent experiments. Scale bar: 25 μm. Original magnification, 400x.

Copyright © 2026 American Society for Clinical Investigation
ISSN 2379-3708

Sign up for email alerts