Go to The Journal of Clinical Investigation
  • About
  • Editors
  • Consulting Editors
  • For authors
  • Publication ethics
  • Publication alerts by email
  • Transfers
  • Advertising
  • Job board
  • Contact
  • Physician-Scientist Development
  • Current issue
  • Past issues
  • By specialty
    • COVID-19
    • Cardiology
    • Immunology
    • Metabolism
    • Nephrology
    • Oncology
    • Pulmonology
    • All ...
  • Videos
  • Collections
    • In-Press Preview
    • Resource and Technical Advances
    • Clinical Research and Public Health
    • Research Letters
    • Editorials
    • Perspectives
    • Physician-Scientist Development
    • Reviews
    • Top read articles

  • Current issue
  • Past issues
  • Specialties
  • In-Press Preview
  • Resource and Technical Advances
  • Clinical Research and Public Health
  • Research Letters
  • Editorials
  • Perspectives
  • Physician-Scientist Development
  • Reviews
  • Top read articles
  • About
  • Editors
  • Consulting Editors
  • For authors
  • Publication ethics
  • Publication alerts by email
  • Transfers
  • Advertising
  • Job board
  • Contact
Myeloid DRP1 deficiency limits revascularization in ischemic muscles via inflammatory macrophage polarization and metabolic reprogramming
Shikha Yadav, Vijay C. Ganta, Sudhahar Varadarajan, Vy Ong, Yang Shi, Archita Das, Dipankar Ash, Sheela Nagarkoti, Malgorzata McMenamin, Stephanie Kelley, Tohru Fukai, Masuko Ushio-Fukai
Shikha Yadav, Vijay C. Ganta, Sudhahar Varadarajan, Vy Ong, Yang Shi, Archita Das, Dipankar Ash, Sheela Nagarkoti, Malgorzata McMenamin, Stephanie Kelley, Tohru Fukai, Masuko Ushio-Fukai
View: Text | PDF
Research Article Angiogenesis Inflammation

Myeloid DRP1 deficiency limits revascularization in ischemic muscles via inflammatory macrophage polarization and metabolic reprogramming

  • Text
  • PDF
Abstract

Macrophages play a crucial role in promoting perfusion recovery and revascularization after ischemia through antiinflammatory polarization, a process essential for the treatment of peripheral artery disease (PAD). Mitochondrial dynamics, particularly regulated by the fission protein DRP1, are closely linked to macrophage metabolism and inflammation. However, the role of DRP1 in reparative neovascularization remains unexplored. Here, we show that DRP1 expression was increased in F4/80+ macrophages within ischemic muscle on day 3 after hind limb ischemia (HLI), an animal model of PAD. Mice lacking Drp1 in myeloid cells exhibited impaired limb perfusion recovery, angiogenesis, and muscle regeneration after HLI. These effects were associated with increased proinflammatory M1-like macrophages, p-NF-κB, and TNF-α, and reduced antiinflammatory M2-like macrophages and p-AMPK in ischemic muscle of myeloid Drp1–/– mice. In vitro, Drp1-deficient macrophages under hypoxia serum starvation (HSS), an in vitro PAD model, demonstrated enhanced glycolysis via reducing p-AMPK as well as mitochondrial dysfunction, and excessive mitochondrial ROS production, resulting in increased proinflammatory M1-gene and reduced antiinflammatory M2-gene expression. Conditioned media from HSS-treated Drp1–/– macrophages exhibited increased proinflammatory cytokine secretion, leading to suppressed angiogenesis in endothelial cells. Thus, macrophage DRP1 deficiency under ischemia drives proinflammatory metabolic reprogramming and macrophage polarization, limiting revascularization in experimental PAD.

Authors

Shikha Yadav, Vijay C. Ganta, Sudhahar Varadarajan, Vy Ong, Yang Shi, Archita Das, Dipankar Ash, Sheela Nagarkoti, Malgorzata McMenamin, Stephanie Kelley, Tohru Fukai, Masuko Ushio-Fukai

×

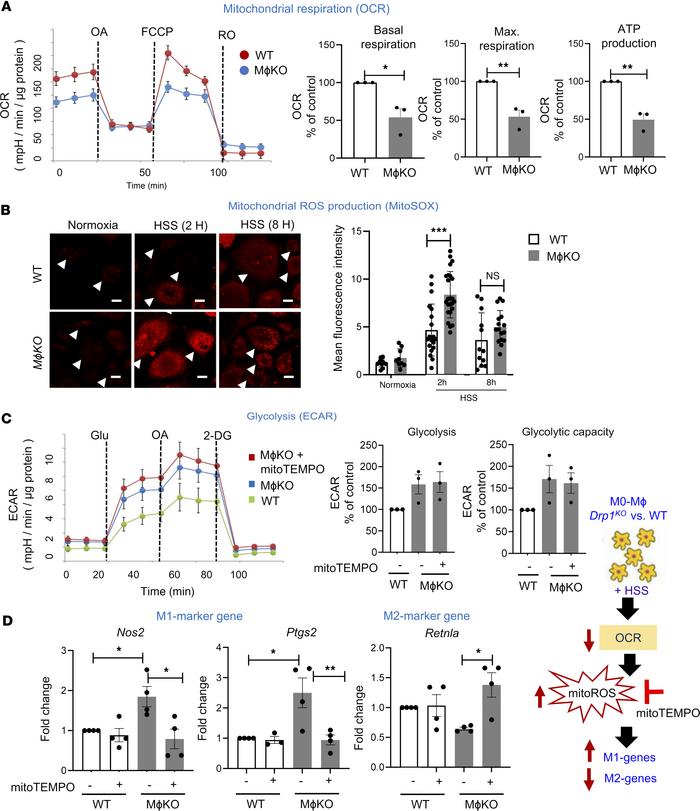
Figure 5

Drp1KO BMDMs under HSS induced mitochondrial dysfunction and mitochondrial ROS (mitoROS) production, which in turn promoted M1-like macrophage polarization and reduced M2-like macrophage polarization.

Options: View larger image (or click on image) Download as PowerPoint

Drp1KO BMDMs under HSS induced mitochondrial dysfunction and mitochondr...
(A) Analysis of mitochondrial respiration measured by OCR using Seahorse XF analyzer in WT and MɸDrp1KO (MɸKO) BMDMs under HSS for 2 hours. Right panels show quantification (n = 3, unpaired, 2-tailed Student’s t test). FCCP, carbonyl cyanide-p-trifluoromethoxyphenylhydrazone; OA, oligomycin; RO, rotenone. (B) mitoROS production measured by MitoSOX under normoxia or HSS for 2 hours and 8 hours in WT and MɸKO BMDMs. Scale bars: 5 μm. Right panels show the average fluorescence intensity quantified by ImageJ (n = number of cells analyzed from 3 independent experiments, 2-way ANOVA followed by Tukey’s multiple-comparison test). (C and D) Effects of Mito-TEMPO (pretreatment for 16 hours at 20 mM) on glycolysis (ECAR) using Seahorse assay (n = 3) (C) as well as mRNA expression for M1 markers (Nos2 and Ptgs2) and M2 marker Retnla measured by qRT-PCR (D) (n = 3–4, 1-way ANOVA followed by Tukey’s multiple-comparison test) in WT and MɸKO BMDMs under HSS for 2 hours (C) or 8 hours (D). Data are mean ± SEM. *P < 0.05, **P < 0.01, ***P < 0.001.

Copyright © 2026 American Society for Clinical Investigation
ISSN 2379-3708

Sign up for email alerts