Go to The Journal of Clinical Investigation
  • About
  • Editors
  • Consulting Editors
  • For authors
  • Publication ethics
  • Publication alerts by email
  • Transfers
  • Advertising
  • Job board
  • Contact
  • Physician-Scientist Development
  • Current issue
  • Past issues
  • By specialty
    • COVID-19
    • Cardiology
    • Immunology
    • Metabolism
    • Nephrology
    • Oncology
    • Pulmonology
    • All ...
  • Videos
  • Collections
    • In-Press Preview
    • Resource and Technical Advances
    • Clinical Research and Public Health
    • Research Letters
    • Editorials
    • Perspectives
    • Physician-Scientist Development
    • Reviews
    • Top read articles

  • Current issue
  • Past issues
  • Specialties
  • In-Press Preview
  • Resource and Technical Advances
  • Clinical Research and Public Health
  • Research Letters
  • Editorials
  • Perspectives
  • Physician-Scientist Development
  • Reviews
  • Top read articles
  • About
  • Editors
  • Consulting Editors
  • For authors
  • Publication ethics
  • Publication alerts by email
  • Transfers
  • Advertising
  • Job board
  • Contact
Rescue of GM3 synthase deficiency by spatially controlled, rAAV-mediated ST3GAL5 delivery
Huiya Yang, … , Kevin A. Strauss, Guangping Gao
Huiya Yang, … , Kevin A. Strauss, Guangping Gao
Published April 4, 2023
Citation Information: JCI Insight. 2023;8(9):e168688. https://doi.org/10.1172/jci.insight.168688.
View: Text | PDF
Research Article Neuroscience Therapeutics

Rescue of GM3 synthase deficiency by spatially controlled, rAAV-mediated ST3GAL5 delivery

  • Text
  • PDF
Abstract

GM3 synthase deficiency (GM3SD) is an infantile-onset epileptic encephalopathy syndrome caused by biallelic loss-of-function mutations in ST3GAL5. Loss of ST3GAL5 activity in humans results in systemic ganglioside deficiency and severe neurological impairment. No disease-modifying treatment is currently available. Certain recombinant adeno-associated viruses (rAAVs) can cross the blood-brain barrier to induce widespread, long-term gene expression in the CNS and represent a promising therapeutic strategy. Here, we show that a first-generation rAAV-ST3GAL5 replacement vector using a ubiquitous promoter restored tissue ST3GAL5 expression and normalized cerebral gangliosides in patient-derived induced pluripotent stem cell neurons and brain tissue from St3gal5-KO mice but caused fatal hepatotoxicity when administered systemically. In contrast, a second-generation vector optimized for CNS-restricted ST3GAL5 expression, administered by either the intracerebroventricular or i.v. route at P1, allowed for safe and effective rescue of lethality and behavior impairment in symptomatic GM3SD mice up to a year. These results support further clinical development of ST3GAL5 gene therapy.

Authors

Huiya Yang, Robert H. Brown Jr., Dan Wang, Kevin A. Strauss, Guangping Gao

×

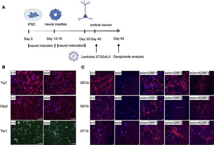
Figure 2

ST3GAL5 replacement restores gangliosides production in iPSC-derived cortical neurons.

Options: View larger image (or click on image) Download as PowerPoint

ST3GAL5 replacement restores gangliosides production in iPSC-derived co...
(A) Workflow to examine restoration of ganglioside production in patients’ iPSC differentiated cortical neurons by lentiviral vectors expressing ST3GAL5 ORFs. (B) Representative images of neuronal markers in ST3GAL5+/+ and ST3GAL5mut/mut iPSC-differentiated cortical neurons. Neuron-specific class III β-tubulin (Tuj1) and COUP-TF-interacting protein 2 (Ctip2) are indicated by red; T-box brain transcription factor 1 (TBR1) is indicated by green, with nuclei counterstained in blue. (C) Representative images of major brain gangliosides in cortical neurons by lentiviral vectors expressing ST3GAL5 ORFs. GD1a, GD1b, and GT1b are indicated by red; nuclei are counterstained in blue. +/+, WT; m/m, ST3GAL5mut/mut. Scale bars: 100 µm (B), 10 µm (C).

Copyright © 2025 American Society for Clinical Investigation
ISSN 2379-3708

Sign up for email alerts