Go to The Journal of Clinical Investigation
  • About
  • Editors
  • Consulting Editors
  • For authors
  • Publication ethics
  • Publication alerts by email
  • Transfers
  • Advertising
  • Job board
  • Contact
  • Physician-Scientist Development
  • Current issue
  • Past issues
  • By specialty
    • COVID-19
    • Cardiology
    • Immunology
    • Metabolism
    • Nephrology
    • Oncology
    • Pulmonology
    • All ...
  • Videos
  • Collections
    • In-Press Preview
    • Resource and Technical Advances
    • Clinical Research and Public Health
    • Research Letters
    • Editorials
    • Perspectives
    • Physician-Scientist Development
    • Reviews
    • Top read articles

  • Current issue
  • Past issues
  • Specialties
  • In-Press Preview
  • Resource and Technical Advances
  • Clinical Research and Public Health
  • Research Letters
  • Editorials
  • Perspectives
  • Physician-Scientist Development
  • Reviews
  • Top read articles
  • About
  • Editors
  • Consulting Editors
  • For authors
  • Publication ethics
  • Publication alerts by email
  • Transfers
  • Advertising
  • Job board
  • Contact
Genomic attributes of homology-directed DNA repair deficiency in metastatic prostate cancer
Navonil De Sarkar, Sayan Dasgupta, Payel Chatterjee, Ilsa Coleman, Gavin Ha, Lisa S. Ang, Emily A. Kohlbrenner, Sander B. Frank, Talina A. Nunez, Stephen J. Salipante, Eva Corey, Colm Morrissey, Eliezer Van Allen, Michael T. Schweizer, Michael C. Haffner, Radhika Patel, Brian Hanratty, Jared M. Lucas, Ruth F. Dumpit, Colin C. Pritchard, Robert B. Montgomery, Peter S. Nelson
Navonil De Sarkar, Sayan Dasgupta, Payel Chatterjee, Ilsa Coleman, Gavin Ha, Lisa S. Ang, Emily A. Kohlbrenner, Sander B. Frank, Talina A. Nunez, Stephen J. Salipante, Eva Corey, Colm Morrissey, Eliezer Van Allen, Michael T. Schweizer, Michael C. Haffner, Radhika Patel, Brian Hanratty, Jared M. Lucas, Ruth F. Dumpit, Colin C. Pritchard, Robert B. Montgomery, Peter S. Nelson
View: Text | PDF
Research Article Oncology

Genomic attributes of homology-directed DNA repair deficiency in metastatic prostate cancer

  • Text
  • PDF
Abstract

Cancers with homology-directed DNA repair (HRR) deficiency exhibit high response rates to poly(ADP-ribose) polymerase inhibitors (PARPi) and platinum chemotherapy. Though mutations disrupting BRCA1 and BRCA2 associate with HRR deficiency (HRRd), patterns of genomic aberrations and mutation signatures may be more sensitive and specific indicators of compromised repair. Here, we evaluated whole-exome sequences from 418 metastatic prostate cancers (mPCs) and determined that one-fifth exhibited genomic characteristics of HRRd that included Catalogue Of Somatic Mutations In Cancer mutation signature 3. Notably, a substantial fraction of tumors with genomic features of HRRd lacked biallelic loss of a core HRR-associated gene, such as BRCA2. In this subset, HRRd associated with loss of chromodomain helicase DNA binding protein 1 but not with mutations in serine-protein kinase ATM, cyclin dependent kinase 12, or checkpoint kinase 2. HRRd genomic status was strongly correlated with responses to PARPi and platinum chemotherapy, a finding that supports evaluating biomarkers reflecting functional HRRd for treatment allocation.

Authors

Navonil De Sarkar, Sayan Dasgupta, Payel Chatterjee, Ilsa Coleman, Gavin Ha, Lisa S. Ang, Emily A. Kohlbrenner, Sander B. Frank, Talina A. Nunez, Stephen J. Salipante, Eva Corey, Colm Morrissey, Eliezer Van Allen, Michael T. Schweizer, Michael C. Haffner, Radhika Patel, Brian Hanratty, Jared M. Lucas, Ruth F. Dumpit, Colin C. Pritchard, Robert B. Montgomery, Peter S. Nelson

×

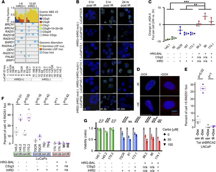
Figure 4

Evaluation of HRR gene mutation, COSMIC signature 3, and integrated assessment of HRR deficiency classification with responses to DNA-damaging therapeutics.

Options: View larger image (or click on image) Download as PowerPoint
Evaluation of HRR gene mutation, COSMIC signature 3, and integrated asse...
(A) Distribution of COSMIC single base substitution mutational signatures (CSigs) across PC patient-derived xenograft (PDX) lines. The classes of COSMIC mutation signatures are color-coded, and tumors are ordered in decreasing frequency of CSig3. (B and C) Confocal immunostaining and quantitation of γH2AX foci in short-term cultures of the indicated PDX line 3 hours and 24 hours after exposure to 6 Gy IR or sham treatment (Ct). Foci counts for each time point are the mean ± SD of 3 replicate experiments. Intergroup comparison in change of foci count per cell was performed by a Welch’s t test. (P value ** < 0.01; *** < 0.001). Scale bar: 10 µm. (D and E) Immunofluorescence microscopy quantitation of RAD51 foci in LNCaP_Tet_shBRCA2 with or without DOX and with or without IR; (D) representative images of cells with and without designated treatments; (E) percentage of 50 cells counted with more than 5 RAD51 foci/cell. Each measurement represents the mean ± SD of 3 independent measurements. Significance was determined by Fisher’s exact test. Scale bar: 10 μm. (F) Quantitation of RAD51 immunofluorescence foci count in short-term cultures of LuCaP PDX lines exposed to IR or sham treatment. The percentage of 50 cells counted with more than 5 RAD51 foci/cell is plotted with each measurement representing the mean ± SD of 3 independent measurements. Significance was determined by Fisher’s exact test. (G) Cell viability assessments of LuCaP PDX lines grown in vitro and measured 72 hours after treatment with vehicle or 50 μM or 100 μM carboplatin. Each measurement represents the mean ± SD of 3 (LuCaP81 and LuCaP174.1) or 6 (remainder) replicate experiments. Comparison of cell viability was performed using paired t tests with Bonferroni’s corrections (P value * ≤ 0.05; ** < 0.01; *** < 0.001; **** < 0.0001).

Copyright © 2026 American Society for Clinical Investigation
ISSN 2379-3708

Sign up for email alerts