Go to The Journal of Clinical Investigation
  • About
  • Editors
  • Consulting Editors
  • For authors
  • Publication ethics
  • Publication alerts by email
  • Transfers
  • Advertising
  • Job board
  • Contact
  • Physician-Scientist Development
  • Current issue
  • Past issues
  • By specialty
    • COVID-19
    • Cardiology
    • Immunology
    • Metabolism
    • Nephrology
    • Oncology
    • Pulmonology
    • All ...
  • Videos
  • Collections
    • In-Press Preview
    • Resource and Technical Advances
    • Clinical Research and Public Health
    • Research Letters
    • Editorials
    • Perspectives
    • Physician-Scientist Development
    • Reviews
    • Top read articles

  • Current issue
  • Past issues
  • Specialties
  • In-Press Preview
  • Resource and Technical Advances
  • Clinical Research and Public Health
  • Research Letters
  • Editorials
  • Perspectives
  • Physician-Scientist Development
  • Reviews
  • Top read articles
  • About
  • Editors
  • Consulting Editors
  • For authors
  • Publication ethics
  • Publication alerts by email
  • Transfers
  • Advertising
  • Job board
  • Contact
Selective inhibition of JAK3 signaling is sufficient to reverse alopecia areata
Zhenpeng Dai, James Chen, Yuqian Chang, Angela M. Christiano
Zhenpeng Dai, James Chen, Yuqian Chang, Angela M. Christiano
View: Text | PDF
Research Article Inflammation

Selective inhibition of JAK3 signaling is sufficient to reverse alopecia areata

  • Text
  • PDF
Abstract

The Janus kinase/signal transducers and activators of transcription (JAK/STAT) are key intracellular mediators in the signal transduction of many cytokines and growth factors. Common γ chain cytokines and interferon-γ that use the JAK/STAT pathway to induce biological responses have been implicated in the pathogenesis of alopecia areata (AA), a T cell–mediated autoimmune disease of the hair follicle. We previously showed that therapeutic targeting of JAK/STAT pathways using the first-generation JAK1/2 inhibitor, ruxolitinib, and the pan-JAK inhibitor, tofacitinib, was highly effective in the treatment of human AA, as well as prevention and reversal of AA in the C3H/HeJ mouse model. To better define the role of individual JAKs in the pathogenesis of AA, in this study, we tested and compared the efficacy of several next-generation JAK-selective inhibitors in the C3H/HeJ mouse model of AA, using both systemic and topical delivery. We found that JAK1-selective inhibitors as well as JAK3-selective inhibitors robustly induced hair regrowth and decreased AA-associated inflammation, whereas several JAK2-selective inhibitors failed to restore hair growth in treated C3H/HeJ mice with AA. Unlike JAK1, which is broadly expressed in many tissues, JAK3 expression is largely restricted to hematopoietic cells. Our study demonstrates inhibiting JAK3 signaling is sufficient to prevent and reverse disease in the preclinical model of AA.

Authors

Zhenpeng Dai, James Chen, Yuqian Chang, Angela M. Christiano

×

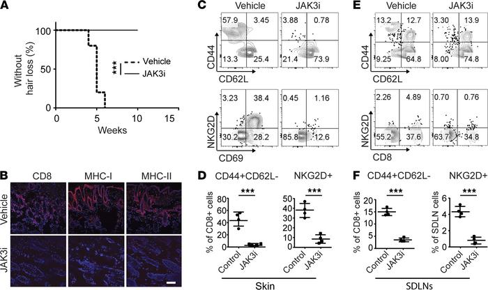
Figure 3

JAK3-selective inhibitor treatment prevented the onset of AA.

Options: View larger image (or click on image) Download as PowerPoint
JAK3-selective inhibitor treatment prevented the onset of AA.
C3H/HeJ gr...
C3H/HeJ grafted mice were given PF-06651600 (JAK3i) at a dosage of 30 mg/kg for 4 weeks. (A) Survival curve analysis depicts the hair loss between JAK3i- and control-treated mice. ***P < 0.01, log-rank test. (B) Representative immunofluorescence images of skin sections from JAK3i- or control-treated mice, stained with anti-CD8, anti–MHC class I, or anti–MHC class II mAbs. Scale bar: 200 μm. (C) Representative FACS plots of the skin single cell in the viable cell gate were acquired for each sample. (D) Summary graphs of the percentages of CD44+CD62L–CD8+ T cells as well as NKG2D+CD8+ T cells within the skin after treatment. ***P < 0.001 (unpaired Student’s t test). (E) Representative FACS plots of SDLNs in the viable cell gate were acquired for each sample. (F) Summary graphs of the percentages of CD44+CD62L–CD8+ T cells as well as NKG2D+CD8+ T cells within the SDLNs after treatment. ***P < 0.001 (unpaired Student’s t test). Two replicate experiments were performed for 10 mice per group.

Copyright © 2026 American Society for Clinical Investigation
ISSN 2379-3708

Sign up for email alerts