Go to The Journal of Clinical Investigation
  • About
  • Editors
  • Consulting Editors
  • For authors
  • Publication ethics
  • Publication alerts by email
  • Transfers
  • Advertising
  • Job board
  • Contact
  • Physician-Scientist Development
  • Current issue
  • Past issues
  • By specialty
    • COVID-19
    • Cardiology
    • Immunology
    • Metabolism
    • Nephrology
    • Oncology
    • Pulmonology
    • All ...
  • Videos
  • Collections
    • In-Press Preview
    • Resource and Technical Advances
    • Clinical Research and Public Health
    • Research Letters
    • Editorials
    • Perspectives
    • Physician-Scientist Development
    • Reviews
    • Top read articles

  • Current issue
  • Past issues
  • Specialties
  • In-Press Preview
  • Resource and Technical Advances
  • Clinical Research and Public Health
  • Research Letters
  • Editorials
  • Perspectives
  • Physician-Scientist Development
  • Reviews
  • Top read articles
  • About
  • Editors
  • Consulting Editors
  • For authors
  • Publication ethics
  • Publication alerts by email
  • Transfers
  • Advertising
  • Job board
  • Contact
ST2 as checkpoint target for colorectal cancer immunotherapy
Kevin Van der Jeught, Yifan Sun, Yuanzhang Fang, Zhuolong Zhou, Hua Jiang, Tao Yu, Jinfeng Yang, Malgorzata M. Kamocka, Ka Man So, Yujing Li, Haniyeh Eyvani, George E. Sandusky, Michael Frieden, Harald Braun, Rudi Beyaert, Xiaoming He, Xinna Zhang, Chi Zhang, Sophie Paczesny, Xiongbin Lu
Kevin Van der Jeught, Yifan Sun, Yuanzhang Fang, Zhuolong Zhou, Hua Jiang, Tao Yu, Jinfeng Yang, Malgorzata M. Kamocka, Ka Man So, Yujing Li, Haniyeh Eyvani, George E. Sandusky, Michael Frieden, Harald Braun, Rudi Beyaert, Xiaoming He, Xinna Zhang, Chi Zhang, Sophie Paczesny, Xiongbin Lu
View: Text | PDF
Research Article Immunology Inflammation

ST2 as checkpoint target for colorectal cancer immunotherapy

  • Text
  • PDF
Abstract

Immune checkpoint blockade immunotherapy delivers promising clinical results in colorectal cancer (CRC). However, only a fraction of cancer patients develop durable responses. The tumor microenvironment (TME) negatively impacts tumor immunity and subsequently clinical outcomes. Therefore, there is a need to identify other checkpoint targets associated with the TME. Early-onset factors secreted by stromal cells as well as tumor cells often help recruit immune cells to the TME, among which are alarmins such as IL-33. The only known receptor for IL-33 is stimulation 2 (ST2). Here we demonstrated that high ST2 expression is associated with poor survival and is correlated with low CD8+ T cell cytotoxicity in CRC patients. ST2 is particularly expressed in tumor-associated macrophages (TAMs). In preclinical models of CRC, we demonstrated that ST2-expressing TAMs (ST2+ TAMs) were recruited into the tumor via CXCR3 expression and exacerbated the immunosuppressive TME; and that combination of ST2 depletion using ST2-KO mice with anti–programmed death 1 treatment resulted in profound growth inhibition of CRC. Finally, using the IL-33trap fusion protein, we suppressed CRC tumor growth and decreased tumor-infiltrating ST2+ TAMs. Together, our findings suggest that ST2 could serve as a potential checkpoint target for CRC immunotherapy.

Authors

Kevin Van der Jeught, Yifan Sun, Yuanzhang Fang, Zhuolong Zhou, Hua Jiang, Tao Yu, Jinfeng Yang, Malgorzata M. Kamocka, Ka Man So, Yujing Li, Haniyeh Eyvani, George E. Sandusky, Michael Frieden, Harald Braun, Rudi Beyaert, Xiaoming He, Xinna Zhang, Chi Zhang, Sophie Paczesny, Xiongbin Lu

×

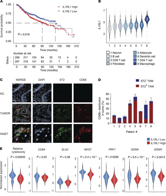
Figure 1

Identification of ST2 as a T cell–suppressive molecule in human CRC.

Options: View larger image (or click on image) Download as PowerPoint
Identification of ST2 as a T cell–suppressive molecule in human CRC.
(A)...
(A) Kaplan-Meier survival curve from the combination of the GSE41258 (n = 165) and GSE39582 (n = 505) data sets of CRC patients with high and low IL1RL1 expression (top and bottom 40%). (B) Normalized expression of IL1RL1 for the indicated cell types. The data were obtained from a large collection of microarray data as described in Methods. (C) Representative confocal images of ST2 expression on formalin-fixed, paraffin-embedded sections from CRC patients (stages I–IV) listed in Supplemental Table 1. ST2 is visualized in green, CD68 in red. Nuclei were counterstained with DAPI and visualized in gray. Secondary antibodies only were used as a negative control (NC). Scale bars: 40 μm, 10 μm (inset). (D) For each patient, a set of 4–7 images was taken throughout the entire tumor section to calculate the number of CD68+ cells and their distribution of ST2. Quantification of percentages was done after training the Imaris software mask to avoid any bias. (E) Violin box plots for the correlation of IL1RL1 (ST2) gene expression with relative T cell cytotoxicity (CD8A, SLA2, NKG7, PRF1, GZMA, and GZMH) and with each of the markers. Data were obtained analyzed using the ICTD algorithm on 93 biologically independent CRC patients with T cell infiltration (IL1RL1-high, 53 patients; IL1RL1-low, 40 patients) from the TCGA database. Significance was determined by log-rank test (A) and 2-tailed unpaired t test (B).

Copyright © 2026 American Society for Clinical Investigation
ISSN 2379-3708

Sign up for email alerts