Go to The Journal of Clinical Investigation
  • About
  • Editors
  • Consulting Editors
  • For authors
  • Publication ethics
  • Publication alerts by email
  • Transfers
  • Advertising
  • Job board
  • Contact
  • Physician-Scientist Development
  • Current issue
  • Past issues
  • By specialty
    • COVID-19
    • Cardiology
    • Immunology
    • Metabolism
    • Nephrology
    • Oncology
    • Pulmonology
    • All ...
  • Videos
  • Collections
    • In-Press Preview
    • Resource and Technical Advances
    • Clinical Research and Public Health
    • Research Letters
    • Editorials
    • Perspectives
    • Physician-Scientist Development
    • Reviews
    • Top read articles

  • Current issue
  • Past issues
  • Specialties
  • In-Press Preview
  • Resource and Technical Advances
  • Clinical Research and Public Health
  • Research Letters
  • Editorials
  • Perspectives
  • Physician-Scientist Development
  • Reviews
  • Top read articles
  • About
  • Editors
  • Consulting Editors
  • For authors
  • Publication ethics
  • Publication alerts by email
  • Transfers
  • Advertising
  • Job board
  • Contact
EPHB2 carried on small extracellular vesicles induces tumor angiogenesis via activation of ephrin reverse signaling
Shinya Sato, Suhas Vasaikar, Adel Eskaros, Young Kim, James S. Lewis, Bing Zhang, Andries Zijlstra, Alissa M. Weaver
Shinya Sato, Suhas Vasaikar, Adel Eskaros, Young Kim, James S. Lewis, Bing Zhang, Andries Zijlstra, Alissa M. Weaver
View: Text | PDF
Research Article Angiogenesis Oncology

EPHB2 carried on small extracellular vesicles induces tumor angiogenesis via activation of ephrin reverse signaling

  • Text
  • PDF
Abstract

Angiogenesis is a key process that allows nutrient uptake and cellular trafficking and is coopted in cancer to enable tumor growth and metastasis. Recently, extracellular vesicles (EVs) have been shown to promote angiogenesis; however, it is unclear what unique features EVs contribute to the process. Here, we studied the role of EVs derived from head and neck squamous cell carcinoma (HNSCC) in driving tumor angiogenesis. Small EVs (SEVs), in the size range of exosomes (50–150 nm), induced angiogenesis both in vitro and in vivo. Proteomic analysis of HNSCC SEVs revealed the cell-to-cell signaling receptor ephrin type B receptor 2 (EPHB2) as a promising candidate cargo to promote angiogenesis. Analysis of patient data further identified EPHB2 overexpression in HNSCC tumors to be associated with poor patient prognosis and tumor angiogenesis, especially in the context of overexpression of the exosome secretion regulator cortactin. Functional experiments revealed that EPHB2 expression in SEVs regulated angiogenesis both in vitro and in vivo and that EPHB2 carried by SEVs stimulates ephrin-B reverse signaling, inducing STAT3 phosphorylation. A STAT3 inhibitor greatly reduced SEV-induced angiogenesis. These data suggest a model in which EVs uniquely promote angiogenesis by transporting Eph transmembrane receptors to nonadjacent endothelial cells to induce ephrin reverse signaling.

Authors

Shinya Sato, Suhas Vasaikar, Adel Eskaros, Young Kim, James S. Lewis, Bing Zhang, Andries Zijlstra, Alissa M. Weaver

×

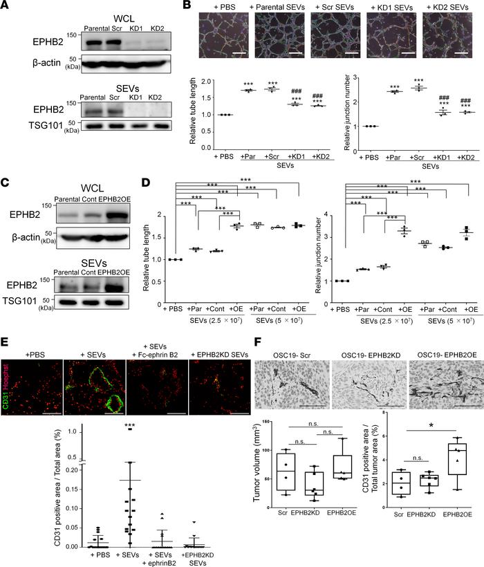
Figure 4

EPHB2 on SEVs drives in vitro tube formation and in vivo angiogenesis.

Options: View larger image (or click on image) Download as PowerPoint
EPHB2 on SEVs drives in vitro tube formation and in vivo angiogenesis.
(...
(A) Representative Western blot of EPHB2 in parental (control), scrambled control (SCR), and EPHB2-KD OSC19 whole cell lysates and SEVs. β-Actin and TSG101 serve as loading controls. (B) Tube-formation assay. Top: Representative images. Scale bar = 500 μm. Bottom: Quantification of relative total tube length and junction number. Plots show the average of ≥ 3 technical replicates per condition for each n value from ≥ 3 independent experiments. ***P < 0.001 comparing PBS control with other groups. ###P < 0.001 comparing +Scr SEVs with +KD SEVs groups. (C) Western blot analysis of EPHB2, β-actin, and TSG101 in parental, empty vector control (Cont), and EPHB2-overexpression (EPHB2OE) OSC19 whole cell lysates and SEVs. (D) Analysis of tube-formation assay from HUVECs treated with the indicated numbers and types of SEVs. Plots show the average of ≥ 3 technical replicates per condition for each n value from ≥ 3 independent experiments. (E) Matrigel plug assay in which SEVs or PBS were mixed with Matrigel and implanted s.c. in nude mice before harvesting and staining for blood vessels (CD31, green) or nuclei (Hoechst 33342, red). Top: Representative images of stained Matrigel plug tissue. Bottom: Quantification of CD31+ vessel area per total tumor area in Matrigel plugs. Dot plot shows mean ± SEM. Dunnett’s method was used for statistical analysis; n ≥ 15 images per condition in 5 samples from 2 independent experiments. ***P < 0.001 comparing PBS control with other groups. (F and G) Control (Scr), EPHB2-KD, and EPHB2-OE HNSCC cells were implanted in the tongues of nude mice. (F) Top: Representative images and quantitation of CD31 staining (black) in tongue tumors. Scale bar: 100 μm. Bottom: Quantitative analysis of tumor volume and CD31-positive area/tumor area in each group; n = 5 images (1 image each from 5 tumors, whole tumor sections scanned for image quantitation). Frequency of lymph node metastasis showed 0/10 for SCR, 0/10 for KD, and 1/10 for OE. For B, D, E, and F, box-and-whisker plots show median and 25th–75th percentile. Dunnett’s method was used in B and E, and Tukey-Kramer method was used in D and F for statistical analysis. *P < 0.05 ***P < 0.001.

Copyright © 2026 American Society for Clinical Investigation
ISSN 2379-3708

Sign up for email alerts