Go to The Journal of Clinical Investigation
  • About
  • Editors
  • Consulting Editors
  • For authors
  • Publication ethics
  • Publication alerts by email
  • Transfers
  • Advertising
  • Job board
  • Contact
  • Physician-Scientist Development
  • Current issue
  • Past issues
  • By specialty
    • COVID-19
    • Cardiology
    • Immunology
    • Metabolism
    • Nephrology
    • Oncology
    • Pulmonology
    • All ...
  • Videos
  • Collections
    • In-Press Preview
    • Resource and Technical Advances
    • Clinical Research and Public Health
    • Research Letters
    • Editorials
    • Perspectives
    • Physician-Scientist Development
    • Reviews
    • Top read articles

  • Current issue
  • Past issues
  • Specialties
  • In-Press Preview
  • Resource and Technical Advances
  • Clinical Research and Public Health
  • Research Letters
  • Editorials
  • Perspectives
  • Physician-Scientist Development
  • Reviews
  • Top read articles
  • About
  • Editors
  • Consulting Editors
  • For authors
  • Publication ethics
  • Publication alerts by email
  • Transfers
  • Advertising
  • Job board
  • Contact
High-dimensional analysis reveals a pathogenic role of inflammatory monocytes in experimental diffuse alveolar hemorrhage
Pui Y. Lee, Nathan Nelson-Maney, Yuelong Huang, Anaïs Levescot, Qiang Wang, Kevin Wei, Pierre Cunin, Yi Li, James A. Lederer, Haoyang Zhuang, Shuhong Han, Edy Y. Kim, Westley H. Reeves, Peter A. Nigrovic
Pui Y. Lee, Nathan Nelson-Maney, Yuelong Huang, Anaïs Levescot, Qiang Wang, Kevin Wei, Pierre Cunin, Yi Li, James A. Lederer, Haoyang Zhuang, Shuhong Han, Edy Y. Kim, Westley H. Reeves, Peter A. Nigrovic
View: Text | PDF
Research Article Pulmonology

High-dimensional analysis reveals a pathogenic role of inflammatory monocytes in experimental diffuse alveolar hemorrhage

  • Text
  • PDF
Abstract

Diffuse alveolar hemorrhage (DAH) is a life-threatening pulmonary complication associated with systemic lupus erythematosus, vasculitis, and stem cell transplant. Little is known about the pathophysiology of DAH, and no targeted therapy is currently available. Pristane treatment in mice induces systemic autoimmunity and lung hemorrhage that recapitulates hallmark pathologic features of human DAH. Using this experimental model, we performed high-dimensional analysis of lung immune cells in DAH by mass cytometry and single-cell RNA sequencing. We found a large influx of myeloid cells to the lungs in DAH and defined the gene expression profile of infiltrating monocytes. Bone marrow–derived inflammatory monocytes actively migrated to the lungs and homed adjacent to blood vessels. Using 3 models of monocyte deficiency and complementary transfer studies, we established a central role of inflammatory monocytes in the development of DAH. We further found that the myeloid transcription factor interferon regulatory factor 8 is essential to the development of both DAH and type I interferon–dependent autoimmunity. These findings collectively reveal monocytes as a potential treatment target in DAH.

Authors

Pui Y. Lee, Nathan Nelson-Maney, Yuelong Huang, Anaïs Levescot, Qiang Wang, Kevin Wei, Pierre Cunin, Yi Li, James A. Lederer, Haoyang Zhuang, Shuhong Han, Edy Y. Kim, Westley H. Reeves, Peter A. Nigrovic

×

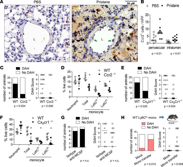
Figure 6

Attenuated DAH in mice deficient in monocyte chemoattractants.

Options: View larger image (or click on image) Download as PowerPoint
Attenuated DAH in mice deficient in monocyte chemoattractants.
(A) Immun...
(A) Immunohistochemistry staining of Ccr2 in lung sections from mice treated with PBS or pristane. Red arrows: Ccr2+ cells in the interface between capillaries and alveoli. Yellow and green arrows: Ccr2+ cells in the perivascular region and inside the blood vessel lumen (L), respectively. Dark debris in the background represents hemosiderin deposits. (B) Quantitation of perivascular and intraluminal Ccr2+ cells per ×40 high-power field (n = 10 fields/group). (C) DAH incidence and severity score of pristane-treated WT and Ccr2–/– mice (n = 20 per group). (D) Flow cytometry quantification of lung monocytes (n = 5 per group). (E) DAH incidence and severity score of pristane-treated WT and Cx3cr1–/– mice (n = 20 per group). (F) Flow cytometry quantification of lung monocytes (n = 5–7 per group) in WT and Cx3cr1–/– mice. (G) DAH incidence and severity score of pristane-treated WT mice given neutralizing antibodies against MCSF or isotype control (n = 10 per group). (H) DAH incidence and severity score of pristane-treated Ccr2–/– mice given purified bone marrow monocytes from WT mice or mock transfer with PBS (n = 13 per group). For all panels, analyses were performed 2 weeks after pristane treatment. Data are representative of 3 independent experiments (A, B, D, and F) or pooled from 2 to 3 independent experiments (C, E, G, and H). Statistical analysis was performed using Fisher’s exact test (C, E, G, and H) and unpaired Student’s t test (B, D, and F). *P < 0.05.

Copyright © 2026 American Society for Clinical Investigation
ISSN 2379-3708

Sign up for email alerts